Стоматолог-пародонтолог
Пародонтолог занимается лечением невоспалительных и воспалительных заболеваний пародонта (околозубные ткани). Цели специалиста — остановить процесс консервативными методами, предотвратить выпадение сегментов, сохранить целостность ряда. Стоматолог пародонтологического отделения проводит лечение заболеваний:
- гингивит;
- пародонтит;
- пародонтоз;
- флюс;
- рецессия десны;
- воспаление тканей при прорезывании зубов мудрости (перикоронит);
- доброкачественных опухолевых заболеваний пародонта, др.
Пародонтолог — высококвалифицированный врач. Помимо лечения, он оказывает консультативную поддержку пациентам и коллегам стоматологам, разрабатывает тактику лечения.
Стоматолог-терапевт
Врач-терапевт (одонтолог) ставит первичный диагноз, оказывает необходимую медицинскую помощь, входящую в его профессиональные обязанности, либо направляет к другим специалистам. Перечень манипуляций, выполняемых стоматологом терапевтического профиля:
- профилактический осмотр полости рта;
- составление программы лечения;
- купирование острой зубной боли;
- удаление воспаленных нервов;
- назначение необходимых диагностических исследований;
- плановое или экстренное устранение кариеса;
- лечение пульпита, периодонтита, периостита;
- терапия воспалительных заболеваний десен.
Важной задачей, стоящей перед терапевтом, является правильная постановка диагноза. От этого зависит выбор оптимальной тактики и дальнейший прогноз заболевания
Зубной врач
Специалист 3 года учится в медицинском колледже, изучает строение, особенности зубочелюстной системы, обучается простейшим стоматологическим манипуляциям. Но выполнять сложное протезирование, проводить коррекцию прикуса или лечить пульпит врач со средним медобразованием не должен.
Детский зубной врач
Нередко родители обижаются, если «свой» врач отказывается лечить зубы у ребёнка. Дело не в низкой квалификации детского стоматолога или нежелании терпеть капризы юного пациента.
Причин несколько:
- детская челюсть имеет отличия по сравнению с взрослой зубочелюстной системой;
- требуется несколько другой подход к пломбированию, удалению молочных и постоянных единиц;
- многие препараты, в частности, анестетики, детям не подходят;
- детский стоматолог изучал психологию, ему проще найти подход к напуганному малышу;
- при сильной боязни зубоврачебного кресла детский врач использует . Специальные препараты, безопасные для детского организма, прекращают приступы паники, позволяют врачу спокойно лечить проблемные зубы.
Знаете ли вы, что стоматологи и зубные врачи имеют профессиональный праздник? И не один, а несколько!
Поздравьте любимого доктора:
- 9 февраля. Международный день стоматолога.
- 6 марта. Международный день зубного врача.
- 24 апреля. День российского стоматолога.
- 25 июля. День зубного техника.
- 12 сентября. Всемирный день здоровья ротовой полости.
Теперь вы знаете, в чём разница между стоматологом и зубным врачом. При плохом состоянии зубного ряда, сложных случаях стоматологических заболеваний не отказывайтесь от консультации узкого специалиста. Только профессионал выполнит протезирование, коррекцию прикуса или сложное удаление зубов.
Если в вашем городке или деревне сложно найти квалифицированного ортодонта или протезиста, обратитесь в крупный центр в другом населённом пункте. Не доверяйте здоровье полости рта «специалистам широкого профиля».
Стоматолог-ортопед: чем занимается
В обязанности этого доктора входит восстановление зубного ряда. Ортопеда, из-за созвучного названия и схожих целей, часто отождествляют с ортодонтом. Но между ними есть существенная разница — ортодонт корректирует кривые зубы и проблемный прикус, используя брекеты, а ортопед восстанавливает зубы, а точнее, внешнюю и внутреннюю их часть, применяя протезирование. Поэтому его иногда еще называют протезистом.
Врач ортопед или протезист зубов помогает в решении всех вышеперечисленных проблем, с которыми рекомендуется обращаться в ортопедическую стоматологию.
От каких неприятностей можно избавиться с помощью зубного ортопеда:
Постоянное ощущение психологического дискомфорта. Отсутствие одного или нескольких зубов портит эстетичный внешний вид лица и даже его симметрию, что заставляет человека чувствовать себя неуверенно и некомфортно. Те же ощущения могут вызывать дефекты зубов: сколы, искривления, щели и т. д. Особенно в «зоне улыбки»
Здесь должна пригодиться помощь протезиста.
Следующая неприятность, которая бывает при недостаточности зубов, является не менее важной — существенные нарушения жевательной функции. Она нуждается в быстром восстановлении, потому как стимулирует естественные процессы всей зубочелюстной системы, восстанавливая ее нормальную работу: тонус мышц, питание и кровообращение клеток костной ткани
Нормальная жевательная функция является не только полезной для здоровья и обменных процессов в организме, но и помогает в борьбе с пародонтозом.
Угроза потери зуба из-за его непрерывного разрушения. Бывает, что зуб имеет вполне здоровые корни, но его внешняя костная ткань уже начала разрушаться, причем до такой степени, что пломба уже неэффективна. Чтобы остановить деструктивный процесс и сохранить зуб, избежав его полной потери, нужно обращаться в ортопедическую стоматологию.
Еще зубной ортопед лечит полную адентию, что дает возможность людям, у которых отсутствуют все зубы, вести нормальный образ жизни.
Коронки
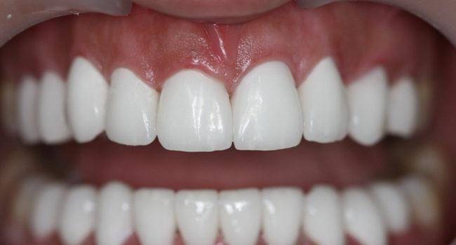
Самыми распространенными протезами для зубов считаются коронки. Внешне они похожи на колпачок, повторяющий форму натурального зуба. Рассматриваемые конструкции изготавливают из металла, пластика, керамики. Самыми удачными вариантами принято считать изделия, выполненные из сочетания нескольких видов материалов.
Коронки из керамики на сегодняшний день являются самым дорогостоящим типом среди протезов такого рода. Материал прекрасно воспроизводит цвет и форму единицы челюстной дуги. Он имеет еще один плюс. Изделия из керамики получаются полупрозрачными, так же как и зубная эмаль. Именно эта особенность делает рассматриваемые конструкции самыми естественными.
Изделия из металлокерамики более прочны, так как имеют титановый каркас. Цена таких коронок значительно ниже, что сделало данный тип широко востребованным среди населения.
Несомненно, использование металла имеет отрицательные стороны. В этом случае полупрозрачная керамика не актуальна. Ведь сквозь нее можно рассмотреть металлическую основу коронки. Но и здесь найдено решение. Стоматолог-ортопед это исправит при помощи Это белый металл, который не видно под керамикой. Соответственно, данные конструкции стоят на порядок дороже изделий из керамики.

Ортопед и ортодонт: основное различие и их роли в решении проблем зубных дефектов
Зубные дефекты и аномалии в развитии зубо-челюстной системы часто требуют медицинского вмешательства. Две основные специальности, занимающиеся коррекцией таких проблем, это ортопедия и ортодонтия. Хотя эти термины могут показаться похожими, ортопеды и ортодонты имеют совершенно разные роли и методы работы.
Основное различие между ортопедом и ортодонтом заключается в области их работы. Ортопед занимается лечением и коррекцией дефектов костей и суставов около зубо-челюстной системы. Он решает проблемы, связанные с деформациями челюстей и неправильным прикусом, используя различные методы, включая хирургическое вмешательство, применение костных имплантов и ортодонтических устройств для регулировки роста и формы костей.
С другой стороны, ортодонт занимается непосредственно коррекцией выровненности зубов и прикуса. Он использует различные ортодонтические аппараты, такие как брекеты, съемные и невидимые аппараты, чтобы двигать зубы в нужное положение и достичь правильного прикуса. Ортодонты также могут заниматься решением проблем с височными зубами, зубами мудрости и другими зубными аномалиями.
Важно отметить, что ортопед может также решать проблемы выровненности зубов, но это входит в его комплексный подход к лечению зубо-челюстной системы. Однако, роль ортодонта более узкоспециализирована и фокусируется исключительно на выравнивании зубов и прикуса
| Ортопед | Ортодонт |
|---|---|
| Занимается лечением и коррекцией дефектов костей и суставов около зубо-челюстной системы | Занимается непосредственно коррекцией выровненности зубов и прикуса |
| Использует различные методы, включая хирургическое вмешательство, применение костных имплантов и ортодонтических устройств для регулировки роста и формы костей | Использует ортодонтические аппараты (брекеты, съемные и невидимые), чтобы двигать зубы в нужное положение и достичь правильного прикуса |
| Решает проблемы деформациями челюстей и неправильным прикусом | Решает проблемы с выравниванием зубов, височными зубами и другими зубными аномалиями |
Ортопед: специалист по лечению заболеваний опорно-двигательной системы
Ортопеды занимаются лечением различных заболеваний, таких как переломы, растяжения связок, артриты, сколиозы и травмы мышц и суставов. Они проводят диагностику заболеваний, разрабатывают планы лечения и реабилитации, а также предлагают профилактические меры для предотвращения повторного возникновения проблем.
Один из главных инструментов, которыми пользуются ортопеды, — это оперативное вмешательство. Они могут выполнять хирургические операции для исправления деформаций, установки имплантатов, а также проводить артроскопические процедуры для диагностики и лечения заболеваний суставов.
Ортопедам также доступны консервативные методы лечения, такие как физиотерапия, массаж, ношение ортезов и рекомендации по изменению образа жизни. Они могут работать вместе с другими специалистами, такими как физиотерапевты и реабилитологи, для достижения наилучших результатов.
Ортопеды также могут специализироваться в определенных областях, таких как ортопедия позвоночника, ортопедия руки или ортопедия стопы и щиколотки. Это позволяет им сосредоточиться на конкретных проблемах и обеспечить более глубокий уровень экспертизы в этих областях.
| Основные отличия ортопедов от ортодонтов: |
|---|
| Ортопеды занимаются лечением заболеваний опорно-двигательной системы, в то время как ортодонты специализируются на лечении проблем с прикусом и выравниванием зубов. |
| Работа ортопедов включает проведение операций, применение консервативных методов лечения, а также разработку планов реабилитации. Ортодонты, в свою очередь, в основном работают с помощью ортодонтических аппаратов и брекет-систем для исправления прикуса и выравнивания зубов. |
| Ортопеды могут специализироваться в различных областях ортопедии, в то время как ортодонты в основном занимаются лечением лицевых и зубных деформаций. |
Понятие «ортопед»
Ортопеды занимаются лечением и коррекцией различных деформаций, аномалий и травм опорно-двигательного аппарата. Ортопед может быть специализированным врачом, фокусирующимся на определенной области, такой как позвоночник, верхние или нижние конечности.
Ортопеды используют разнообразные методы лечения, включая ношение ортопедических корсетов, физическую терапию, реабилитационные мероприятия и даже хирургическое вмешательство. Они также могут рекомендовать фармакотерапию для облегчения боли и воспаления.
Ортопеды часто работают в сотрудничестве с другими специалистами, такими как реабилитологи, ревматологи и нейрохирурги, чтобы обеспечить наилучшее возможное лечение пациентам.
Главной задачей ортопеда является обеспечение пациентам оптимальной подвижности, функциональности и качества жизни. Ортопедия играет важную роль в медицине, помогая людям восстановить здоровье и вернуться к активной жизни.
Область специализации
Ортопед, с другой стороны, специализируется на более широком спектре проблем, связанных с полостью рта. Это может включать лечение заболеваний десен, восстановление поврежденных зубов, установку зубных имплантатов и другие хирургические процедуры. Ортопеды также могут заниматься созданием и установкой протезов и ортезов для пациентов с дефектами челюсти или зубного ряда. Они обычно решают более сложные проблемы, требующие хирургического вмешательства.
Таким образом, оба врача специалиста играют важную роль в области стоматологии, но с разными областями специализации. Ортодонт занимается выравниванием зубов и прикуса, в то время как ортопед занимается различными хирургическими процедурами и лечением проблем с полостью рта.
Специфика работы детского ортодонта
Давайте разберемся с тем, кто такой ортодонт детский и в чем заключается его работа. К сожалению, многие проблемы с прикусом носят наследственный характер. Если родители прибегали к ортодонтическому лечению, то, скорее всего, оно может потребоваться и ребенку. К работе детского врача ортодонта можно отнести диагностику и лечение аномалий позднего или раннего выпадения зубов у ребенка.

Для предупреждения сужения пространства между зубами и формирования правильного и ровного постоянного зубного ряда врач может установить ребенку шинирующие распорки. Они помогают остановить процесс деформации и смещения у коронок.
Вся зубочелюстная система ребенка развивается во время становления молочного прикуса. Если проходить регулярный осмотр у детского ортодонта и проводить регулярные профилактические мероприятия, можно избежать длительного и тяжелого ортодонтического лечения в будущем. Как только у ребенка появляются первые зубы, можно уже начинать посещать врача-ортодонта. Терапия и профилактические мероприятия допустимы для детей любого возраста.
Чем раньше вы посетите с ребенком ортодонта и начнете корректировать проблемы, тем быстрее и легче будет проходить лечение. Вы сможете обойтись без применения медицинских препаратов и приема таблеток. Если патология будет вовремя выявлена у ребенка, возраст которого составил от трех до пяти лет, то, скорее всего, ему пропишут миогимнастику и пальцевой массаж ротовой полости.
При обращении к ортодонту в первый раз достаточно будет хорошо почистить зубы. Также рекомендуется для снижения слюноотделения поесть за час до приема. В последующие визиты, необходимо будет делать подготовку перед визитом, которую назначит врач. Об этом он подробно расскажет на приеме. Если вы планируете отвести ребенка к врачу, то расскажите ему, кто такой детский врач ортодонт в стоматологии, объясните, что он лечит и для чего это необходимо. Разговор с ребенком поможет ему не бояться и настроиться на посещение доктора.
Если вы будете знать, кто такой ортодонт и в чем заключается его работа, то можно своевременно предупредить проблемы в развитии зубного ряда. Он поможет разобраться с проблемой, и вы сможете избежать деформации зубов и ухудшения общего состояния здоровья.
ПОЗВОНИТЬ БЕСПЛАТНО
Стоматолог-хирург
В запущенных случаях поврежденные зубы приходится удалять. Этим занимается стоматолог-хирург. Он также вычищает полости между зубами и деснами при пародонтозе (научное название этого процесса — кюретаж), удаляет кисты, проводит подсадку костной ткани.
Гигиена: при чистке зубов сделайте то же самое с мобильным устройством, удерживая его акрилом и никогда не проводя. После чистки, чтобы избежать неприятного запаха, сделайте раствор в половине стакана воды, смешайте 1 ложку перекиси водорода или добавьте 1 ложку бикарбоната и поместите прибор на 30 минут в этот контейнер.
Использование сдерживания: после ортодонтического лечения пациент оценивает с командой профилактики, которая будет указывать на использование устройств для ограничения движения вновь расположенных зубов. Это ограничение может быть фиксированным, полуфиксированным или съемным. В этих последних двух случаях использование также является непрерывным, кусок снимается только во время еды.
Стоматолог-хирург делает операции на челюстях, суставах и лице, связанные с травмами, врожденными и приобретенными дефектами, опухолями, инфекционно-воспалительными процессами, заболеваниями слюнных желез и нервных волокон, находящихся в данной области.
Вживление в кость челюсти имплантатов (искусственных корней) для дальнейшего протезирования также в компетенции хирурга.
Среднее время использования контейнеров составляет 6 месяцев, но может варьироваться в зависимости от случая и проведенной обработки
Важно то, что этого периода достаточно для реорганизации и стабилизации костной ткани и смежных тканей в новом положении
Современная ортодонтия всегда ищет новые альтернативы, чтобы предоставить пациенту больший комфорт и более короткое время лечения. «Трение» между структурами, ответственными за движение зубов, производится главным образом за счет использования эластичных лигатур, которые фиксируют ортодонтический провод. Поэтому сила, используемая проволокой для преодоления этого трения и вызывающая смещение зубов, должна быть очень большой и, следовательно, вызывает боль.
Нередко врачам этого профиля приходится удалять так называемые погруженные зубы мудрости, которые растут в неправильном направлении и вызывают воспаление и сильную боль в деснах.
Стоматолог-ортопед: кто это и что лечит?
Многие путают ортодонтов с ортопедами. В чем разница? Деятельность первых направлена на исправление прикуса, неправильного местоположения зубных единиц на челюстной дуге.
Стоматолог-ортопед – это специалист, работающий в области протезирования. Проще говоря, его деятельность направлена на восстановление внутренней и внешней частей зуба. Если единицу можно спасти, ее корень цел, несмотря на полное разрушение коронковой части, то за дело берутся ортопеды.
Новейшие технологии позволяют восстановить и полностью утраченный зуб. После удаления на помощь приходит имплантация. Эту методику также охватывает рассматриваемая область медицины.
Как мы видим, это сложная и ответственная работа. Стоматолог-ортопед тесно связан и с другими направлениями. Нередко специалисты владеют навыками и ортодонта, и хирурга. Далее рассмотрим более подробно то, Для этого нам будет полезно узнать о причинах, по которым приходится прибегать к протезированию.

Виды деятельности специалиста по стоматологической ортопедии
Эта статья рассказывает о типовых способах решения Ваших вопросов, но каждый случай уникален! Если Вы хотите узнать у меня, как решить именно Вашу проблему – задайте свой вопрос. Это быстро и бесплатно
!
Для реконструкции частично или полностью разрушенных зубов, врачу стоматологу-ортопеду важно правильно подобрать наиболее подходящую ортопедическую методику лечения. Существует три основных направления восстановления: микропротезирование, съемное протезирование и использование несъемных конструкций
Микропротезирование
Данный вид работ осуществляется при высокой степени сохранности зуба в случаях утраты его функциональности из-за поврежденной верхней части или при наличии косметических дефектов. В рамках микропротезирования используются виниры, люминиры и вкладки. Рассмотрим подробнее каждый из видов конструкций.
Виниры. Устанавливаются на передние зубы для коррекции внешнего вида зубного ряда, помогают замаскировать сколы, трещины, другие повреждения эмали, скрыть незначительную кривизну или выровнять цвет. Представляют собой тонкую керамическую или фарфоровую пластинку, наклеиваемую на поверхность резца при помощи цемента. При аккуратном обращении срок службы виниров – около десяти лет.
К недостаткам метода относятся:
- необходимость стачивать эмаль перед установкой накладки;
- невозможность установки пластинок другого вида после окончания срока эксплуатации.
Люминиры сходны с винирами по конструкции, но отличаются тем, что не требуют полного стачивания эмали, поскольку толщина пластинки не более 0,3 мм. Тонкость виниров является одновременно их достоинством и недостатком, укорачивающим срок службы.
Минусы люминиров:
- невозможность замаскировать неровность края зуба;
- затрудненное привыкание к наклеенным пластинкам;
- повышенная хрупкость конструкций.
Вкладки похожи на обыкновенные пломбы, но изготавливаются из керамики и обладают большей прочностью и презентабельным внешним видом. Применяются в случаях почти полного разрушения зуба. Чаще всего с помощью вкладок восстанавливают поврежденные жевательные зубы.
Съемное протезирование
Съемные протезы в стоматологии используются при необходимости восстановить отдельные утраченные зубы или группу из нескольких.
Съемные модели можно устанавливать в любом возрасте, их широко используют в детской ортопедической стоматологии для выправления зубного ряда после потери молочного зуба. Часто съемные конструкции рекомендуют пожилым людям.
Конструкции съемного типа выполняются из пластичных материалов, таких как полиуретан, акрил и нейлон, и повторяют рельеф десны и костной ткани зуба. Во рту протезы могут крепиться на здоровые зубы при помощи специальных креплений. Такие конструкции называются пластинчатыми. Возможно изготовление так называемых моделей на присосках (рекомендуем прочитать: ). В действительности, конструкция удерживается во рту благодаря эффекту вакуума между десной и нейлоновой частью искусственной челюсти.
Существует вариант установки условно-съемных протезов, базирующихся на металлических дугообразных конструкциях – бюгелях. Выгодное отличие бюгелей в том, что эта конструкция не закрывает небо. Существенный недостаток способа – в невозможности пациента самостоятельно надевать и снимать протезы.
Установка несъемных протезов
К несъемным конструкциям относятся коронки, мосты и имплантаты. Коронки используются в случае необходимости восстановления одного зуба, мосты применяются при утрате нескольких единиц и представляют собой три и более зубные коронки, объединенные в общую систему. Для установки данных видов протезов необходимо наличие живых зубов, которые обтачиваются и служат опорой конструкции.
Мосты и коронки могут выполняться из металла, керамики и пластика и сочетаний разных материалов. Керамические изделия благодаря полупрозрачности сырья выглядят более естественно, но по прочности первое место занимают металлокерамические коронки, поскольку ставятся на каркас из титанового сплава. Коронки из пластика имеют короткий срок ношения и используются в качестве временных до установки постоянного протеза.
После утраты одного или нескольких зубов костная ткань челюсти начинает быстро атрофироваться. Для предотвращения и замедления этого процесса стоматологи рекомендуют использовать имплантаты. Данный вид несъемных зубных протезов является наиболее предпочтительным, но при этом самым дорогостоящим.
Мифы о враче и его работе
Относительно стоматологов-ортодонтов существует целый ряд мифов и заблуждений. Поговорим о них.
Заблуждение 1. Ортодонты лечат только детей и подростков
Это совершенно неверно. Хотя на заре становления профессии в XVIII-XIX веках действительно считалось, что исправить патологии челюстей можно только до 20 лет. А современные ортодонты успешно работают с пациентами любого возраста. Просто набор подходов, инструментов и оборудования отличается в зависимости от ситуации.
Конечно, эффективность лечения тем выше, чем раньше оно начато.

В детстве и юности даже сложные зубочелюстные патологии легко исправить без операции и в короткие сроки, просто направив развитие челюстей в нужное русло. Фото: Яндекс.Картинки.
Но и во взрослом возрасте тоже можно добиться отличных результатов. Хотя челюстные кости уже полностью сформированы и работать немного сложнее. Лечение может быть длительным. Возможно, потребуется операция. Часто у взрослых приходится совмещать несколько разных подходов к лечению, а после брекетов ставить виниры для нормализации эстетики.
Заблуждение 2. Есть «детские» и «взрослые» ортодонты
Как правило, нет. Стоматолог, окончивший ординатуру по направлению «ортодонтия», может работать как с детьми, так и со взрослыми. Другое дело, что каждый врач обычно выбирает по душе – работает в более узком направлении, проходит дополнительные курсы повышения квалификации, набирается опыта в работе с пациентами определенных возрастных групп.
Но в большинстве ситуаций ортодонты – универсальные врачи, которые принимают пациентов вне зависимости от их возраста. Это тот редкий случай, когда вы и ваши дети можете наблюдаться у одного и того же специалиста.
Заблуждение 3. Ортодонт – тот, кто ставит брекеты
Брекеты – далеко не единственный вариант ортодонтического лечения. Хотя и очень популярный. Брекет-системы состоят из набора пластинок, которые крепятся на зубах, корректирующей дуги, а также соединительных элементов для этих двух частей. Ортодонт задает дуге определенное положение и натяжение, усилие передается на зубы, постепенно меняя их позиции.
Брекеты – это для всех
Брекеты – универсальная ортодонтическая конструкция, которая используется в любом возрасте. Но не раньше, чем у ребенка молочные зубы сменятся на постоянные.
Функциональные аппараты – это для детей
А вот специфическим детско-подростковым лечением является установка функциональных аппаратов: ортодонтических пластинок, небных бюгелей, трейнеров, лицевых дуг, масок. Все эти аппараты нужны на этапе роста челюстных костей – они эффективно изменяют параметры, задавая тон для формирования их правильного положения.

Ставят пластинки или другие аппараты как в молочном прикусе, так и в постоянном – это зависит от проблемы, которую нужно скорректировать. Фото: Яндекс.Картинки.
Лечение без брекетов – новинка в ортодонтии
Еще ортодонты используют в работе элайнеры – ортодонтические каппы для коррекции прикуса. И у взрослых, и у детей.

По сути, элайнеры – отличная альтернатива брекетам. Только более дорогая. Фото: Smile-at-Once.ru.
Не будем про них много рассказывать, лучше почитайте наш отдельный материал на эту тему. Но отметим, что элайнеры – это непревзойденная эстетика и высочайший комфорт на всем протяжении лечения.
Заблуждение 4. Ортодонтия – самая простая специальность
Одно из главных заблуждений. Потому что ортодонтия на самом деле – одна из самых сложных сфер!
Работу ортодонта можно сравнить с настройкой дорогого музыкального инструмента (а что может быть дороже вашего здоровья?). Врачу необходимо точно рассчитать, какое давление дать на зубы, как перераспределить нагрузку при жевании, перенастроить тонус мышц – это тонкая и ювелирная работа.
К слову, перед началом ортодонтического лечения врач обязательно проводит комплексную цифровую диагностику всей зубочелюстной системы. Для этого применяют компьютерную томографию, ТРГ и фотометрию, 3D-сканирование зубных рядов, а также исследуют динамические параметры прикуса (аксиография и миография).
Самые популярные услуги и цены
Цены на зубное протезирование различаются в зависимости от объема работ, используемых материалов, квалификации специалиста, а также от региона. Установка протезов — процедура недешевая, но высокая стоимость покрывается надежностью и долговечностью их использования. Какой услугой лучше воспользоваться? Для примера приведены цены в Москве в 2017 году:
- консультация — от 500 рублей;
- рентгенографическое обследование — от 250 рублей;
- установка временной коронки — от 2500 рублей;
- металлокерамическая коронка на жевательный зуб — от 4000 рублей;
- керамическая коронка на передний зуб — от 10000 рублей;
- керамические виниры — от 15000 рублей;
- нейлоновая съемная конструкция — от 16000 рублей;
- бюгельная установка — от 40000 рублей;
- коронка на имплантат — от 30000 рублей.
Разделение задач врачей-стоматологов
С точки зрения обычного обывателя, совершенно не знакомого с медициной, стоматолог – это обычный зубной врач, который сверлит кариозные зубы и ставит пломбы, а в иных случаях и удаляет оставшиеся от зуба корни. Однако при научном подходе специалисты данного направления разделяются как минимум на четыре категории:
- Стоматолог-хирург
- Стоматолог-терапевт
- Стоматолог-ортодонт
- Стоматолог-ортопед
Стоматолог-хирург и его функции
Стоматолог-хирируг оказывает комплексное лечение ротовой полости, а также проводит различные хирургические операции. Врач данного уровня может выполнять следующие лечебные и профилактические процедуры:
- производить полное или частичное удаление зубов
- устранять инфекционно-воспалительные процессы
- выполнять операции по устранению последствий травм челюсти, лица и сустава
- проводить подготовку к имплантации
Стоматолог-терапевт
Основными задачами стоматолога-терапевта является лечение заболеваний зубов как кариозного, так и некариозного происхождения, а также лечение воспалительных процессов полости рта.
Стоматолог-ортопед
Задачей данного специалиста является восстановление или имплантация зуба. В случае, когда корень зуб еще жив, ортопед стремится нарастить коронку и вернуть нормальную функцию всего зуба, а когда наблюдается полное разрушение зуба, проводится имплантация, имеющая несколько разновидностей в зависимости от конкретного случая.
Стоматолог-ортодонт
Ортодонт занимается так называемой коррекцией зубного ряда. Обычно врач данной квалификации занимается исправлением различных неровностей, кривизны, расстояний между зубами и т. п. недостатками.
Для исправления прикуса, как правило, используются специальные брекеты. В отличие от протезирования, этот метод более гуманен для зубов хотя и является более затратным по времени.
Другие специальности стоматологов
Хирург-стоматолог
Врач, который вырывает зубы, называется стоматолог-хирург или, челюстно-лицевой хирург. Он проводит такие хирургические операции:

Пародонтолог
Пародонтолог устраняет болезни пародонта – мягких и слизистых тканей рта. К нему приходят с воспалением десен (гингивит и его осложнение – пародонтит), слизистой ротовой полости (стоматит), и инфекционным поражением между зубом и десной (пародонтоз). Главная функция пародонтолога – ликвидировать воспаление с помощью лекарственных препаратов.
Ортодонт
Этот врач исправляет неправильный прикус (взаимоположение верхнего и нижнего рядов зубов, когда они смыкаются друг с другом). Прикус устанавливается с младенчества и окончательно формируется к 13-14 годам. Нарушения периода формирования можно исправить. Это делает ортодонт, применяя пластинки, брекет-системы, капы и другие приспособления. Прикус можно корректировать как детям, так и взрослым. В случае со взрослыми требуется более длительный период, чтобы закрепить полученный результат.
Терапевт-стоматолог
Он проводит первичный осмотр ротовой полости, диагностирует, назначает лечение. Пульпит и другие недуги лечатся терапевтом путем устранения воспалений (подробнее в статье: ). Врач ставит пломбы на месте повреждений. Терапевт осуществляет также профилактику, удаляя зубной налет и камень. Стоматолог-терапевт также занимается художественной реставрацией зубов.
Названия медицинских специальностей «ортодонт» и «ортопед» у многих на слуху. Но чем конкретно занимаются врачи, работающие по упомянутым направлениям, точно знают не все. Попытаемся разобраться в этом вопросе, а также выясним, чем отличается ортодонт от ортопеда.



























