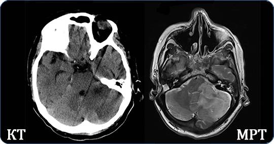
МРТ, КТ и рентген: сравнительная характеристика
Чтобы понять отличие КТ от МРТ, нужно упомянуть о разных физических явлениях и принципах работы, которые используются в оборудовании:
- В компьютерной томографии (КТ) и в рентгене используются рентгеновские лучи. Они позволяют оценить размер, положение, плотность органа, тканей и выявить патологию путем сопоставления с нормальными значениями здоровых объектов. Отличие КТ от рентгена состоит в том, что аппарат многократно сканирует исследуемую область. Доктор получает изображения с высоким разрешением в трех проекциях без теней от наложения органов. Информация касается анатомического строения органов, их физических показателей.
- Чем отличается МРТ от рентгена? МРТ использует магнитное поле для создания детальных изображений органов и тканей тела. То есть магнитно-резонансный томограф вызывает отклик молекул воды нашего организма и использует это для создания трехмерных изображений. Техника анализирует строение тканей, дает максимально возможную точность диагностики заболеваний головного, спинного мозга, онкологии разной локализации.
Эти методы дополняют друг друга, дают медикам комплексную картину исследуемых органов и тканей.
Что безопаснее – КТ или МРТ?
Оценку безопасности можно дать, сравнив количество противопоказаний. Поскольку в КТ используется рентгеновское излучение, его нельзя делать часто, запрещено делать детям и беременным женщинам. Зато оно не противопоказано людям с металлическими протезами, имплантами, электрическими устройствами.
МРТ можно делать всем, кто может долгое время пролежать неподвижно, не боится ограниченного пространства. Радиочастотные импульсы абсолютно безвредны. Исследование можно проводить часто и всем, кому нужно. Однако на теле и в теле пациента не должно быть металлических предметов, кардиостимуляторов, ушных имплантов, прочих гаджетов.
Что информативнее – КТ или МРТ?
Трудно сравнивать два метода, в основе которых разные принципы исследования. К тому же, они решают разные задачи. Попробуем ответить на вопрос, изучив сферы применения двух методов диагностики:
- КТ незаменима при обследовании костей, тканей, сосудов головы, чрезвычайно информативна в диагностике туберкулеза и пневмонии, исследовании желудка, кишечника, других полых органов. Метод используется при обследовании позвоночника, костей, однако он не дает полной информации при обследовании суставов, связок, мягких тканей.
- С помощью МРТ диагностируют новообразования, опухоли, обследуют оболочку, ткани головного, спинного мозга. Диагностика инсульта в первые часы помогает врачам быстро принять нужные меры.Огромное значение метод имеет для выявления рассеянного склероза, заболеваний матки, мочевого пузыря, прямой кишки, предстательной железы, онкологии (развитие, локализация новообразования, степень повреждения соседних тканей).
Что лучше – рентген или МРТ?
При обычной рентгенографии Х-излучение проходит через исследуемый участок тела один раз перпендикулярно поверхности. В результате врач получает однослойное двухмерное изображение, на котором четко видны наиболее серьезные поражения. Тени от соседних органов могут затемнять изображение, снижать качество диагностики.
МРТ дает послойное изображение высокого разрешения, считывает состояние суставов, мягких тканей, их химический состав. Она необходима для диагностики заболеваний головного мозга, позвоночника, спинного мозга, протрузий, выявления онкологии на ранних стадиях.
Из двух методов безопасней МРТ, поскольку рентгеновское излучение необходимо дозировать, а радиочастотные импульсы абсолютно безвредны. Рентген запрещено использовать в обследовании детей и будущих мам, а МРТ можно делать столько раз, сколько нужно, не боясь облучения.
Информативность каждого метода высокая. Полученные данные дают возможность врачу поставить точный диагноз. Каждый метод выполняет свои функции. Они не противостоят, а дополняют друг друга. Опытный врач знает, на каком аппарате лучше обследовать легкие, на каком головной мозг или позвоночную грыжу, а когда лучше сделать и рентген, и МРТ.
КТ сосудов
Исследование может называться КТ-ангиография или МСКТ-ангиография, что зависит от типа томографа (в чём разница, мы писали здесь).
Перед исследованием в вену вводят йодсодержащее вещество, которое хорошо заметно в рентгеновских лучах. Результатом диагностики становится серия снимков поперечных срезов органа, по которым опытный врач составляет общую картину. Хорошо видно, где и как проходят артерии и вены, есть ли места сужения и какая часть просвета сосуда проходима для крови.
КТ сосудов имеет преимущество перед УЗИ при обследовании аорты, сосудов головного мозга и лёгких, так как кости и большая толщина мягких тканей не являются препятствием для этого метода.
КТ (МСКТ) сосудов шеи и конечностей имеет смысл делать только в сложных случаях, когда УЗИ оказалось неэффективным. Второй вариант: вы готовитесь к операции, и хирургу нужно видеть сразу все сосуды шеи/ноги/руки и точную локализацию сужений. Если вам «просто провериться», выбирайте УЗИ.
КТ-ангиография сердца — метод сомнительный, так как невозможно получить чёткий рентгеновский снимок органа, который постоянно находится в движении. Вместо КТ-ангиографии сердца многие клиники предлагают услугу — КТ коронарного кальция. Это другое. В рентгеновских лучах хорошо видны скопления кальция, которые часто образуются в атеросклеротических бляшках. Исследование позволяет оценить кровообращение в сердечной мышце, но только по косвенным признакам. Метод не стандартизован, врачи пока не договорились, как трактовать результаты и что с ними делать.
Что лучше для исследования головного мозга ЭЭГ или УЗИ
При выборе УЗИ или ЭЭГ следует обратить внимание на заболевания и патологии, которые может выявить каждый из указанных способов обследования. Основные болезни, нарушения, выявляемые ЭЭГ:
Основные болезни, нарушения, выявляемые ЭЭГ:
- Дефекты, говорящие о сбое системы кровоснабжения;
- Изменения структуры сосудов;
- Заболевания нервной системы.
- Патологии психического характера;
- Обнаружение раковых образований и иных органических поражений;
- Что способно выявить УЗИ диагностика?
- Комплексные нарушения сосудистой системы головы;
- Наличие предрасположенности к серьезным заболеваниям.
ЭЭГ и ультразвуковое исследование имеют свои недостатки.
К минусам, возможным при выполнении УЗИ, относятся:
- Обычно требуется выполнение дополнительных процедур для уточнения результата;
- Недостаточная четкость получаемого изображения;
- Оценить функциональное состояние не представляется возможным.
Недостатки при проведении ЭЭГ:
- Низкий уровень диагностики поражений органического типа;
- Получение качественного результата во время электроэнцефалографии зависит от эмоционального состояния пациента.
Как выбрать между дуплексом и МРТ?
При выборе между дуплексом и МРТ для диагностики медицинского состояния важно учесть несколько факторов:
- Цель и характер исследования: если требуется оценить кровоток и структуру сосудов, то более предпочтительным может быть дуплексное исследование. Если необходима более детальная информация о структуре тканей и органов, то лучше обратиться к МРТ.
- Доступность и стоимость: дуплексное исследование является более доступным и более дешевым вариантом в сравнении с МРТ.
- Состояние пациента: некоторые люди могут испытывать дискомфорт или боязнь во время процедуры МРТ, особенно в случае наличия страха перед замкнутыми пространствами. В таких ситуациях дуплексное исследование может быть предпочтительным выбором.
- Влияние на результаты лечения: в зависимости от конкретной ситуации, результаты дуплексного или МРТ исследования могут оказывать различное влияние на принятие решений по лечению. При необходимости определения кровоснабжения или наличия сосудистых проблем, дуплексное исследование может быть приоритетным.
- Консультация специалиста: перед принятием решения о выборе дуплекса или МРТ, рекомендуется проконсультироваться с врачом или специалистом, который сможет оценить конкретные потребности пациента и рекомендовать наиболее подходящий метод диагностики.
Итак, при выборе между дуплексом и МРТ важно учитывать цель и характер исследования, доступность и стоимость, состояние пациента, влияние на результаты лечения и консультацию специалиста. Только после учета этих факторов можно принять информированное решение и выбрать наиболее подходящий метод диагностики
Что покажет УЗИ артерий и вен нижних конечностей

Современное УЗИ сосудов нижних конечностей – это стандартная статическая, динамическая, диагностика заболеваний вен и артерий ног
Ультрасонография визуализирует ряд сосудистых патологий:
Варикозное расширение вен. Дуплексное сканирование демонстрирует ранние изменения. Патология, выявленная на начальной стадии, при адекватной терапии не прогрессирует до угрожающих жизни форм. На ангиосонографии видны:
изолированные патологические рефлюксы в:
притоках большой и малой подкожных вен голени;
перфорантных венах голени.
сегментах венозных стволов при отсутствии истинных вено-венозных сбросов.
несостоятельность клапана/клапанов – еще один признак варикоза и хронической венозной недостаточности.
Посттромботическую болезнь. Постфлебитические состояния – осложнения перенесенной закупоркипросвета сосуда, выражающиеся нарушением венозного оттока. УЗ-признаки:
патологические эхоструктуры (следствие образования хронического посттромбофлебитического рубца);
изменение толщины стенки;
визуализация бляшки в сосуде;
вкрапления солей кальция;
спайки в просвете пораженной вены;
трансформация тромба в тяж с сужением просвета сосуда (на продвинутой стадии болезни).
Ангиодисплазии. Представляют собой пороки развития вен, артерий. Сосудистые мальформации лоцируются на агниосонографии патологическими переплетениями, с разнообразными завихрениями кровотока. УЗИ в ангиорежиме покажет клапанную недостаточность, недоразвитие или отсутствие тканевых структур.
Острые/хронические тромбозы, эмболии, окклюзии артерий. Ультразвуковая диагностика демонстрирует препятствие, ориентированное вдоль оси артерии с неоднородным эхо-сигналом. Доктор во время процедуры может дифференцировать перечисленные причины нарушения кровотока между собой. При визуализации тромба для дальнейшей тактики важны характеристики образования. Наибольшую опасность представляют флотирующие тромбы, готовые отделиться от интимы сосуда и начать движение к легкому, сердцу. Резкое прекращение тока крови в результате любого фактора вызывает острую критическую ишемию конечности. Нарушение гемодинамики в артериях приводит к недостатку питательных веществ и кислорода в тканях, что является предвестником гангрены. Болезненным изменениям подвержены магистральные и периферические сосуды.
Артерииты (васкулиты). Болезнь связывают с аутоиммунными заболеваниями. В процесс вовлекаются различные сосуды, в том числе – нижних конечностей. На микроскопическом уровне изменяется стенка – происходит инфильтрация лейкоцитами, разрушение мышечных и эластичных ее частей с исходом в фиброз. В последующем развивается некротизация ткани.
Атеросклероз. Нарушение липидного обмена приводит к отложению на стенках сосуда холестериновой бляшки. УЗ-признаки:
различная отражающая способность зоны патологии и меньшая (в сравнении с бляшкой) интенсивность отражения у остальных участков стенки;
участки кальцификации, дающие максимальный эхо-сигнал;
неровность контуров сосуда в месте поражения;
изменение амплитуды кровотока в области сужения.
Болезнь Бюргера (облитерирующий тромбангиит). Острое воспаление, тромбоз артерий и вен конечностей развивается у курильщиков мужского пола в трудоспособном возрасте.
Сосудистые осложнения сахарного диабета. Структурные нарушения стенки вызывает высокое содержание сахара и инсулина в крови. Диабетическую ангиопатию рассматривают как необратимое состояние, но своевременная УЗ-диагностика и профилактика сосудистых осложнений улучшает жизненный прогноз и уменьшает вероятность инвалидизации.
УЗИ артерий и вен нижних конечностей показывает сдавление сосуда новообразованием, например, липомой, рубцовой тканью после ранения и пр.
Атеросклероз брахиоцефальных артерий (БЦА) – их основная патология
Одним из самых частых патологических процессов, происходящих в артериях, кровоснабжающих головной мозг и конечности, считают атеросклероз. Сужение сосудов неминуемо отражается на работе мозга, который испытывает недостаток артериального кровоснабжения и гипоксию.
Атеросклероз брахиоцефальных артерий развивается по тем же причинам, что и аналогичное поражение аорты, артерий сердца, почек, конечностей. К нему предрасполагают зрелый и пожилой возраст, лишний вес, недостаток двигательной активности, неправильное питание, вредные привычки, нарушения жирового обмена.
Предпосылками появления бляшки служат повреждения внутреннего слоя артериальных стенок, которые возникают вследствие активного кровотока, большого внутрисосудистого давления, турбулентного тока крови в местах ветвления сосудов. Растущая бляшка долгое время может оставаться незамеченной, ведь просвет артерий довольно широк, но прогрессирование атеросклероза рано или поздно приводит к нарушению доставки крови к мозгу.
Атеросклероз БЦА может быть:
- Стенозирующим;
- Нестенозирующим.
О нестенозирующем атеросклерозе брахиоцефальных артерий говорят тогда, когда бляшка растет преимущественно по длиннику артерии, не вызывая ее значительного сужения. Понятно, что кровоток все равно будет нарушаться, но полной закупорки обычно не происходит. По мере увеличения такой плоской бляшки система кровообращения мозга перестраивается под новые условия — включаются коллатерали, кровь перенаправляется по составляющим Виллизиева круга, а мозг получает тот объем питания, который ему необходим.
Нестенозирующим также считают атеросклероз, когда бляшка не перекрывает половины просвета артерии. При прогрессировании заболевания нестенозирующее поражение может стать стенозирующим — растущая бляшка закроет половину и даже больше диаметра сосуда.
Гораздо более серьезной представляется ситуация стенозирующего атеросклероза брахиоцефальных артерий. При этом атеросклеротическая бляшка выступает в просвет сосуда и приводит к сильному стенозу, а ее разрыв или повреждение внешнего покрова грозят местным тромбообразованием и полной обструкцией артерии.
На фоне стенозирующего атеросклероза БЦА кровоток тоже перестраивается, и его функциональность зависит от строения Виллизиева круга. Учитывая, что классическое ветвление артерий основания мозга встречается намного реже разного рода вариаций, то большинство больных с атеросклерозом испытывают недостаток коллатерального кровообращения, а потому риск неблагоприятных последствий (инсульт, например) существенно возрастает.
Излюбленными зонами образования атеросклеротических бляшек считают те участки сосудов, где происходит их деление или изменяется направление хода, что ведет к завихрениям кровотока и повреждениям интимы, а самая частая локализация атеросклероза БЦА — это зона деления общей сонной артерии на наружную и внутреннюю ветви.
Вследствие поражения брахиоцефальных артерий страдает кровоток в мозге, последний испытывает ишемию (дисциркуляторная энцефалопатия) или же возникает некроз (инсульт). Механизм развития этих осложнений связан с гемодинамическими причинами, когда происходит частичная или полная окклюзия артерии, а также с эмболиями, когда эмболами становятся частички бляшки сонных артерий, микротромбы из зон атеросклеротического поражения.
Риск инсульта на фоне атеросклероза БЦА существенно возрастает при тромбообразовании, наличии рыхлой бляшки с кровоизлиянием в ее толщу или изъязвлением поверхности, а также при стенозе артерий тяжелой степени (70-80% и более).
Помимо атеросклероза, в системе брахиоцефальных артерий возможны и другие патологические процессы, влекущие их сужение и нарушение кровотока. Так, к частым изменениям сосудов относят перегибы, петлеобразование, которые обычно устраняют хирургическим путем. Аневризмы этих артерий тоже встречаются, но относительно редко.
Ход проведения исследований: отличительные особенности
Первичное отличие диагностического процесса в случае с УЗИ и МРТ состоит во времени исследования. Если предстоит провести УЗИ-диагностику, пациенту придётся подождать окончания процедуры в среднем 15 минут.
В случае с МРТ, тело больного находится под действием магнитного поля на протяжении 30-90 минут (зависит от области сканирования и типа диагностики).
Второй существенный момент — условия пребывания больного. При ультразвуковом исследовании обследуемый находится на кушетке в нужном положении.
МРТ предполагает нахождение человека внутри магнитного тоннеля томографа, что увеличивает риск появления у пациента дискомфорта в ходе сканирования, особенно если речь идёт о страдающем клаустрофобией.
В случае с УЗИ в процессе диагностики специалист применяет лубрикант для удобного перемещения датчика по телу больного.
Магнитная томография в некоторых случаях не обходится без введения контраста (для подробного обследования) или наркоза (при исследовании маленьких детей, психически неуравновешенных).
Ценовая политика
Стоимость дуплекса зависит от:
- профильности клиники;
- расположения;
- рейтинга;
- квалификации персонала;
- технической оснащенности диагностического кабинета.
От качества и опыта врача зависит точность диагноза и своевременность обнаружения даже незначительных повреждений. Не экономьте на дуплексном сканировании головы и шеи, даже если стоимость может отличаться, мы гарантируем результат и качество выполняемого обследования.

В стоимость исследования при необходимости может быть добавлена консультация невролога, флеболога и других профильных специалистов. Наш медицинский центр располагает лучшими врачами, и мы в том числе занимаемся обучением и повышением квалификации персонала из других клиник.
В нашей клинике вы получите один из лучших сервисов и высокое качество исследования. Здесь же вы можете пройти лечение. Стоимость дуплексного сканирования головы и шеи найдете в разделе «Прайс-лист». Услуга оказывается по предварительной записи и 100%-ой предоплате.
Чем отличается МРТ головы, ЭЭГ и УЗИ
Главные отличия УЗИ, МРТ и ЭЭГ заключаются в принципах влияния на человеческий организм, способе функционирования оборудования.
МРТ прекрасно показала себя при всестороннем исследовании внутримозговых нарушений, обнаружении всевозможных новообразований головы пациента. Когда делают МРТ шейного отдела позвоночника или головы устанавливается специальная катушка, позволяющая усилить эффективность изображения.
Итогом диагностики является трехмерное изображение, которое способно помочь лечащему доктору установить верный диагноз.
УЗИ проходит благодаря воздействию звуковых волн с настолько высокой частотой, что человеческое ухо не может их воспринимать. При проникновении через организм человека происходит отражение эхо-сигналов с различными скоростными параметрами. Диагностируются процессы, происходящие внутри тела человека.
Часто при обследовании применяется ультразвуковая методика под названием нейросонография, которая с высокой точностью определяет размеры отдельных участков головы, наличие различных аномалий, раковых образований.
ЭЭГ (электроэнцефалография) фиксирует биоэлектрическую активность головного мозга, которая обрабатывается устройством, отображается в форме волновых колебаний на бумажной ленте или записывается отдельным файлом на компьютере.
Проводят ЭЭГ при помощи аппарата под названием электроэнцефалограф. По области головы распределяют специальные электроды, регистрирующие электрические сигналы от клеток мозга и перерабатывающие их в электрический колебательный процесс. Результатом электроэнцефалографии является получение снимка, который отображается на бумаге, выглядит, как волны с различной амплитудой.
ЭЭГ не способна определить вид и место органического нарушения, но готова предоставить данные о наличии патологии и выявить участок головного мозга , который ее содержит. Сравнивая с МРТ, способ дает возможность обнаружить нарушения психического типа в деятельности мозга.
Для правильного ответа на вопрос: что сделать УЗИ сосудов и коры головного мозга или МРТ нужно ориентироваться в положительных моментах обоих методов обследования.
УЗИ делает возможным исследовать детей с недостатком внимания. Проведение осуществляется скоротечно. Во время сканирования нет надобности продолжительное время лежать в неподвижном состоянии. Правильная подготовка к МРТ головного мозга позволяет предотвратить осложнения.
МРТ обследование служит одним из лучших способов для диагностики патологий головного мозга органического типа, эффективнее способно обнаружить раковые образования при первоначальных этапах развития, правильно назначить методику лечения.
При сравнении с ультразвуковым исследованием, МРТ энцефалография имеет один важный отличительный признак. УЗИ головного мозга или МРТ предполагают диагностику анатомических нарушений, а ЭЭГ направлена больше на обследование функционального состояния головного мозга. МРТ и ЭЭГ ставят перед собой совершенно разные задачи.
Особенности ультразвукового обследования сосудов головного мозга
При выполнении УЗИ доктор способен узнать структуру исследуемого сосуда, принять решение о функциональной способности, наличии патологических отклонений, дефектах. Метод диагностики носит название: допплерография.
Процедура делится на три вида:
Стандартная форма, которая выглядит, как двухплоскостное обследование – способ дает возможность произвести полноценное исследование, изучив сосуды до места их попадания в каналы, заметив новообразования.
Дуплексная форма – результаты сканирования (отображение сосудистой системы головного мозга) выдаются человеку в образе цветного изображения. Врач имеет детальную картину как внечерепной, так внутричерепной структуры, что кардинально упрощает определение диагноза.
Трехмерное ультразвуковое обследование позволяет создать сопоставимое по информативности с фотографическим отображение сосудов для дальнейшего анализа состояния верификации структурных нарушений. Имеется один минус, который не позволит врачу добиться получения данных о функциональном состоянии кровоснабжения.
Выполнение ультразвукового обследования необходимо при жалобах на появление симптомов, говорящих о сосудистых нарушениях области головного мозга. К основным признакам можно отнести учащение болей, беспричинные головокружения, немощь, которая может доходить до потери сознания.
В чем суть УЗДС
Обследование занимается визуализацией стенок сосуда, анализирует состояние неподалеку расположенных органов. Чтобы изучить ток крови задействуют цветовой способ картирования, также спектра-анализ.
Во время диагностики монитор демонстрирует картинку анализируемого сосуда. Появляется возможность оценки артериальной, венозной проходимости, выявление причин ослабления тока крови. При таком способе постановки диагноза можно выделить ряд существенных достоинств:
- Используя в практике УЗДС можно с высокой точностью определить степень деформации сосуда или его просвета.
- Обнаруживаются холестериновые бляшки, отложившиеся на стенках артерий.
- Выявляется такой грозный враг, как тромб.
- Оцениваются параметры кровотока.
- Если происходит диагностика вены или артерии с большим диаметром, то патологические изменения замечаются на первичной стадии возникновения процесса.
Дуплексное сканирование происходит без боли. Время обнаружения различных отклонений варьируется в диапазоне 25 – 45 минут. На временной фактор оказывает влияние область исследования. Никаких дискомфортных ощущений у пациента не наблюдается. УЗДС завершается возвращением к обычному ритму жизни и не накладывает различных ограничений.
Достоинства и недостатки метода
Преимущества дуплексного ангиосканирования БЦА заключаются в следующем:
- Отсутствие каких-либо ощущений или дискомфорта. Пациент может проходить процедуру без опасений.
- Высокая эффективность. Благодаря двум режимам сканирования, врач получает качественную и всестороннюю информацию о характере, скорости кровотока и всех его отклонениях. Это основная методика функциональной оценки гемодинамики со стороны головного мозга.
- Скорость сканирования. На процедуру уходит от 10 до 20 минут или чуть более, хотя и редко. Если нет каких-либо изменений хватает и меньшего количества времени.
- Отсутствие вредного воздействия на организм. Чего не сказать про ангиографию, КТ, некоторые другие способы, создающие лучевую нагрузку.
- Есть возможность получить услугу бесплатно, по полису ОМС или его аналогам в других государствах бывшего Союза. Однако стоит оговориться. Не все клиники предлагают доступные цены, и не везде предполагается прохождение мероприятия без оплаты.
- Возможность ранней диагностики множества опасных патологических процессов. От аневризм и до изменений по типу атеросклероза — предвестников инсульта.
Минусы у дуплексного сканирования также присутствуют:
- Необходимость высокой квалификации диагностирующего персонала. Расшифровка большей частью ложится на этих врачей, особенно, если не предоставляются снимки. Потому при недостаточном профессионализме риск ошибки крайне велик.
- Отсутствие возможности оценки анатомического состояния исследуемой области. Это функциональная, а не универсальная методика. Что, в прочем, минусом можно назвать довольно условно.
Преимуществ намного больше. Кроме всего, достойных альтернатив мероприятию нет.
Что лучше — УЗИ сосудов головного мозга или МРТ?
Вопрос: «Что лучше — Узи сосудов головного мозга или МРТ» в основном возникает у родителей, которым приходится выбирать наилучший метод обследования для своих детей. Но такой же выбор может возникнуть и у взрослых, которые хотят получить наилучшее лечение. Для того чтобы определить, что лучше, следует получить общее представление о том, как проходит каждое из таких обследований и для каких именно целей оно предназначено.
УЗИ сосудов головного мозга
Этот метод обследования использует свойство ультразвука отражаться от мягких и твердых тканей, в результате чего получается точное изображение. Чаще всего такая диагностика проводится в следующих случаях:
- Дети с не заросшими родничками.
Возможность обследования детей с дефицитом внимания. Такая диагностика проводится быстрее, чем МРТ, для получения результатов нет необходимости долго неподвижно лежать.
Томография головного мозга
Основана на методе получения высокоточного изображения с помощью магнитного поля и радиоволн. Результаты обрабатываются с помощью компьютера. Поэтому при расшифровке практически исключены ошибки. Томография рекомендована следующим категориям пациентов:
- Подозрения на аномалии в структуре головного мозга.
Томография полностью безвредна для пациента и показывает полную и точную клиническую картину. Однако способ его проведения может оказаться неприемлемым для некоторых пациентов. А именно:
Страдающим клаустрофобией. Снизить симптомы тревоги и боязнь замкнутого пространства можно с помощью родственников, которые во время проведения манипуляций могут находиться рядом с пациентом, держать его за руку, успокаивать и т. д.
Какой метод диагностики стоит выбрать?
Определиться с выбором, что именно УЗИ головного мозга или МРТ стоит выбрать, можно, если сравнить эти два метода относительно: точности, удобства, необходимости в проведении дополнительных анализов и стоимости.
- Точность результатов. Томография позволяет получить послойное точное изображение головного мозга. Это позволяет с точностью до 95% определить наличие опухолей или других патологий. Узи, как правило, не может похвастаться подобными результатами.
Показания к проведению
УЗИ сосудов шеи рекомендуется к проведению при наличии заболеваний, а также для предупреждения их возникновения.
Выделяют определенные категории людей, которые входят в группу риска и в большей степени подвержены появлению нарушений состояния брахиоцефальных артерий.
К ним относятся:
- Люди пожилого возраста, в частности те, чьи родственники были подвержены сосудистым заболеваниям;
- Люди с большим стажем курения (от 15 лет и более);
- Подверженные следующим заболеваниям: сахарному диабету, шейному остеохондрозу, аутоиммунным поражениям сосудов, ожирению;
- Люди, подверженные метаболическому синдрому;
- Имеющие нарушения ритма и мозгового кровообращения.
Также среди непосредственных показаний к обязательному прохождению процедуры УЗИ БЦА, выделяют:
- Наличие головных болей;
- Появление головокружений и обморочного состояния;
- Шаткая походка;
- Ухудшение зрения, ощущение пелены перед глазами;
- Появление шума в ушах, ощущение постоянной или возникающей время от времени пульсации;
- Ухудшение памяти и потеря концентрации внимания.
Возможности и ограничения МРТ
МРТ обладает рядом значительных преимуществ:
1. Высокая детализация изображений: МРТ позволяет получить очень детальные изображения, которые позволяют врачу визуализировать и анализировать мягкие ткани, органы и структуры, такие как мозг, суставы, мышцы и сосуды. Благодаря этому, МРТ является очень информативным методом диагностики, особенно при выявлении заболеваний и патологий в ранней стадии.
2. Отсутствие излучения: В отличие от рентгеновских и компьютерной томографии, МРТ не использует ионизирующее излучение, что делает его безопасным для пациента
Это особенно важно при диагностике детей и молодых людей, а также при повторных исследованиях
3. Мультипланарная возможность: МРТ позволяет получать изображения в разных плоскостях: горизонтальной, вертикальной и поперечной. Это значительно облегчает диагностику патологий, так как врач может оценить структуру и расположение органов и тканей с разных сторон и углов.
Однако, у МРТ есть и некоторые ограничения:
1. Ограниченная доступность: МРТ-аппараты дорогостоящие и требуют специального оборудования и обученного персонала для проведения и интерпретации исследования. Это может ограничивать доступность МРТ, особенно в небольших населенных пунктах или в развивающихся странах.
2. Длительное время исследования: Проведение МРТ может занимать от нескольких минут до нескольких часов в зависимости от типа исследуемой области тела. Это может быть неудобно для некоторых пациентов, особенно для тех, кто страдает от страха или беспокойства. Кроме того, для получения качественных изображений может потребоваться инъекция контрастного вещества, что также добавляет время исследования.
3. Ограничения для некоторых пациентов: Некоторые пациенты не могут пройти МРТ из-за наличия металлических имплантов или устройств в своем теле, таких как кардиостимуляторы, кластеры кровяных свертков или металлические протезы. Это может быть препятствием для проведения исследования.
Тем не менее, МРТ остается одним из самых диагностических методов, предоставляющим детальные и точные данные о состоянии органов и тканей человека, что делает его более информативным, особенно для выявления различных заболеваний и патологий.



























