Прикорневая пневмония: признаки и особые свойства
Данная форма заболевания отличается местом локализации инфекции – она поражает ткани у лёгочного корня, поэтому прикорневую пневмонию очень сложно диагностировать. Различные исследования – рентгеновский снимок, осмотр и выслушивание могут давать разную информацию о месте нахождения поражения. Если это произошло, то скорее всего, у ребёнка прикорневое воспаление лёгких.
Болезнь имеет затяжной характер, она может протекать с ярко выраженными симптомами интоксикации, но так же может их не иметь. Нередко она протекает без нарушений дыхания и хрипов, лишь с незначительным повышением температуры тела. Наличие или отсутствие симптомов зависит, прежде всего от типа возбудителя.
У грудничков можно определить наличие болезни, если кроха часто просит грудь, но сосёт вяло, носогубные треугольник принимает синюшный цвет, в межрёберном пространстве при дыхании у ребёнка втягивается кожа. Если признаки присутствуют, то они проявляются в следующих состояниях:
- сильный, приступообразный сухой кашель;
- выделение большого количества мокроты;
- жёсткое дыхание;
- хрипы;
- ринит;
- першение в горле;
- слабость и озноб в самом начале заболевания.
Вред или польза народной медицины
Тяжёлое состояние требует чётко спланированного плана лечения, так как состояние без специальных препаратов будет усугубляться. Для лечения вирусной пневмонии не подходят народные методы! Только противовирусные и антибактериальные препараты.
При лечении пневмонии назначается обильное питьё (тёплый чай) – в этом случае можно обратиться к народным средствам. Чай можно заваривать с различными растительными компонентами, которые обладают хорошими дезинтоксикационными свойствами и содержат большое количество витаминов: малина, шиповник, липа, мать-и-мачеха, мята и т.д.
Лечение пневмонии (воспаления легких)
Больных легкой формой пневмонии обычно успешно лечат в домашних условиях. Им дают антибиотики, обильное питье и обеспечивают полный покой. В более тяжелых случаях может потребоваться лечение в больнице.
Лечение воспаления легких дома (амбулаторное)
Кашель может продолжаться еще 2-3 недели после окончания курса антибиотиков, а чувство усталости может сохраняться еще дольше, потому что ваше тело будет восстанавливаться после болезни. Если симптомы не начнут проходить в течение двух дней после начала лечения, сообщите об этом вашему врачу. Эффекта от лечения может не быть по следующим причинам:
- бактерии, вызывающие инфекцию, могут быть устойчивы к тем антибиотикам, которые вы принимали, — ваш доктор может прописать вам другой антибиотик взамен или в дополнение к первому;
- инфекцию может вызывать вирус, а не бактерия — антибиотики не действуют на вирусы, а иммунной системе вашего организма придется самой бороться с вирусной инфекцией, вырабатывая антитела.
Чтобы облегчить симптомы пневмонии, можно принимать болеутоляющие, такие как парацетамол или ибупрофен. Они помогут снять боль и сбить высокую температуру. Вам не следует принимать ибупрофен, если у вас:
- аллергия на аспирин или иные нестероидные противовоспалительные препараты (НПВП);
- астма, болезни почек, язва желудка или нарушение пищеварения.
Не рекомендуется принимать лекарства от кашля, тормозящие кашлевой рефлекс (кодеин, либексин и др.). Кашель помогает прочищать легкие от мокроты, поэтому если остановить кашель, инфекция может дольше оставаться в организме. Помимо этого, имеется мало доказательств того, что средства от кашля эффективны. Теплое питье с медом и лимоном поможет снять дискомфорт, вызываемый кашлем. Пейте много жидкости, чтобы не допустить обезвоживания, и много отдыхайте, чтобы ваш организм восстановился.
Если вы курите, сейчас как никогда важно бросить курить, так как это вредит вашим легким. Пневмония редко передается от одного человека другому, поэтому больному можно находиться в окружении людей, включая членов семьи
Однако людям с ослабленной иммунной системой следует избегать контакта с больным пневмонией до того, как он начнет поправляться
Пневмония редко передается от одного человека другому, поэтому больному можно находиться в окружении людей, включая членов семьи. Однако людям с ослабленной иммунной системой следует избегать контакта с больным пневмонией до того, как он начнет поправляться.
После облегчения симптомов вам, возможно, потребуется ещё какое-то время для полного выздоровления. При этом кашель может сохраниться. Если вас это беспокоит, поговорите со своим лечащим врачом.
Лечение пневмонии в больнице (стационарное)
При тяжелых симптомах вам может потребоваться лечь в больницу для лечения. Лечение в больнице будет включать прием антибиотиков и жидкостей внутривенно через капельницу и/или подачу кислорода через кислородную маску для облегчения дыхания.
В очень тяжелых случаях пневмонии подача воздуха в легкие может осуществляться через аппарат искусственной вентиляции легких в отделении реанимации и интенсивной терапии.
Врач, скорее всего, попросит вас прийти повторно примерно через 6 недель после начала приема антибиотиков. В некоторых случаях он может назначать повторные исследования, например, рентген грудной клетки, если:
Как уменьшить риск вирусной или бактериальной инфекций у взрослых?
Чтобы уменьшить вероятность попадания в организм вирусов и бактерий, нужно сократить их число во вдыхаемом воздухе. Эту задачу решают эфирные масла, оказывающие противовирусное и антибактериальное действие: мяты, эвкалипта, можжевельника, гвоздики и некоторых других растений. Эти эфирные масла испаряются уже при комнатной температуре, смешиваются с воздухом и уничтожают находящиеся в нем вирусы и бактерии. А также, попадая в дыхательные пути, обеззараживают и их.
Перечисленные масла входят в композицию Масло Дыши. Его эффективность против вирусов и бактерий подтверждена НИИ гриппа. Согласно результатам исследований, применение Масла Дыши уменьшает вероятность заражения ОРВИ в три раза. Композицию масел удобно использовать дома, в офисе и даже в общественном транспорте. Следует нанести несколько капель Масла Дыши на салфетку или ватный диск, который надо положить на рабочем столе рядом с собой. Дома можно разложить ватные диски с эфирными маслами во всех комнатах. Перед выходом из дома Масло Дыши можно капнуть на шарф или воротник верхней одежды.
Кроме того, композицию Масла Дыши можно применять, если человек уже заболел. Масло Дыши облегчает течение заболевания, ускоряет выздоровление, уменьшает риск развития осложнений на 71%.
Конечно, важно соблюдать и другие меры профилактики: использование маски в общественных местах, соблюдение социальной дистанции, регулярное мытье рук. Если есть возможность, необходимо отказаться от посещения многолюдных мест в сезон гриппа и простуд. . НЕ ЯВЛЯЕТСЯ РЕКЛАМОЙ
МАТЕРИАЛ ПОДГОТОВЛЕН ПРИ УЧАСТИИ ЭКСПЕРТОВ
НЕ ЯВЛЯЕТСЯ РЕКЛАМОЙ. МАТЕРИАЛ ПОДГОТОВЛЕН ПРИ УЧАСТИИ ЭКСПЕРТОВ.
Методы диагностики
Выявить наличие воспалительного процесса и стадию пневмонии у детей можно с помощью рентгенографии или флюорографии. Однако этих исследований не достаточно для постановки диагноза: для того, чтобы адекватно подобрать антибиотики и другие лекарственные препараты, необходимо выявить и идентифицировать возбудителя заболевания. Поэтому перед тем как лечить пневмонию, требуется провести бактериологическое исследование мокроты и биорезонансное обследование организма.
Посев мокроты на питательные среды позволяет выявить бактерии, вызвавшие воспаление, и проверить их чувствительность к антибиотикам. Биорезонансное исследование дает возможность выявить наличие возбудителя пневмонии, степень инфицированности, определить локализацию воспаления в легких ребенка. Также эта методика дает возможность проверить состояние иммунной системы малыша и сопротивляемость его организма инфекциям. Биорезонансное обследование дает наиболее полную картину заболевания, что позволяет подобрать максимально эффективное лечение.
При появлении симптомов вирусной пневмонии у детей требуется вирусологическое исследование.
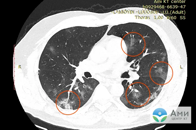
Поражение легких при вирусной пневмонии

Инфильтрация легких при вирусной пневмонии на 3D-реконструкции дыхательных путей (КТ-3)

Для сравнения — так выглядят легкие в норме

Симптом «матового стекла» (инфильтраты) при вирусной пневмонии на посрезовых КТ-сканах

Стадии коронавируса: КТ-1, КТ-2, КТ-3, КТ-4

Фиброз легких
Вирусно-бактериальная пневмония
В некоторых случаях вирусная пневмония осложняется присоединением вторичной бактериальной инфекции. Так бывает, например, при респираторно-синцитиальном вирусе и коронавирусе (манифестируется на 6-7 сутки, сопутствует более выраженному отеку легочной ткани). Лечение вирусно-бактериальной пневмонии проводится с применением курса антибиоткиков, которые подбираются только после точного определения вида бактериальной инфекции.
Лечение пневмонии
Некоторые домашние средства и медицинские процедуры могут помочь пациентам справиться с пневмонией.
Медикаментозное лечение пневмонии зависит от типа пневмонии.
Бактериальная пневмония
Врачи назначат антибиотики людям с бактериальной пневмонией. Чтобы снизить риск развития бактериальной пневмонии в будущем, врач может рекомендовать
- отказаться от курения
- получение пневмококковой вакцины
- ежегодная вакцинация против гриппа
Вирусная пневмония
При вирусной пневмонии назначают противовирусные препараты. Однако многие пациенты выздоравливают без лечения, просто отдыхая и справляясь со своими симптомами дома. Если у пациента вирусная пневмония, врач также может назначить антибиотики.
Грибковая пневмония
При грибковой пневмонии врач может назначить противогрибковое лечение наряду с глюкокортикоидами для уменьшения воспаления легких. Некоторым пациентам может потребоваться механическая вентиляция легких, чтобы помочь им дышать.
Категории
COVID-19АллергологАнестезиолог-реаниматологВенерологГастроэнтерологГематологГенетикГепатологГериатрГинекологГинеколог-эндокринологГомеопатДерматологДетский гастроэнтерологДетский гинекологДетский дерматологДетский инфекционистДетский кардиологДетский лорДетский неврологДетский нефрологДетский онкологДетский офтальмологДетский психологДетский пульмонологДетский ревматологДетский урологДетский хирургДетский эндокринологДефектологДиетологИммунологИнфекционистКардиологКлинический психологКосметологЛипидологЛогопедЛорМаммологМедицинский юристНаркологНевропатологНейрохирургНеонатологНефрологНутрициологОнкологОнкоурологОртопед-травматологОфтальмологПаразитологПедиатрПластический хирургПодологПроктологПсихиатрПсихологПульмонологРевматологРентгенологРепродуктологСексолог-андрологСтоматологТерапевтТрихологУрологФармацевтФизиотерапевтФитотерапевтФлебологФтизиатрХирургЭндокринолог
Возрастные особенности пневмонии у детей
Существует несколько форм заболевания:
Внутриутробная трансплацентарная
Источником является мать, заражение происходит в утробе. Инфекция к плоду попадает гематогенным путем, то есть через кровь. Характерно наличие очага инфекции в материнском организме. Нередко данный тип болезни может сопровождаться сепсисом. У младенцев в первые часы рождения, при наличии внутриутробной пневмонии, могут наблюдаться следующие симптомы:
- дыхательная недостаточность;
- одышка;
- посинение кожных покровов;
- влажные хрипы.
Рентген может сразу после рождения, подтвердить наличие очагов поражения.
Внутриутробная амниотическая
Источник инфекции – мать, возбудители болезни проникают в организм плода вместе с околоплодными инфицированными водами, которые младенец заглатывает. Одним из признаков наличия поражения является диагностирование у женщины многоводия.
Интранатальная
Источником выступает организм матери. Заражение происходит в период движения плода по родовым путям. Путь передачи инфекции контактный – обсеменение возбудителями, содержащимися в амниотической жидкости (околоплодных водах) и слизистых выделениях Признаки проявляются не сразу, а после 2-3 суток после рождения. Клиническая картина схожа с внутриутробным инфицированием.
Начальный этап характеризуется:
- дыхательной недостаточностью;
- токсикозом;
- слабостью, вялостью;
- младенец отказывается от груди;
- из ротовой полости выделяется пена.
Нередки следующие признаки:
- диарея;
- отит;
- конъюктивит.
Постнатальная пневмония (домашняя)
Источником инфекции являются окружающие малыша люди дома. Заражение происходит после выписки из роддома. Путь передачи возбудителя инфекции происходит по воздуху – аэрогенный способ. Чаще всего заболевание связывают с наличием пневмококковых возбудителей и массивным обсеменением верхних дыхательных путей.
Заболевание начинается остро, наблюдаются следующие признаки:
- кашель;
- высокая температура;
- отхождение мокроты;
- дыхание может быть слабым или жёстким;
- выслушиваются мелкопузырчатые хрипы.
Постнатальная нозокомиальная(внутрибольничная)
Источником инфекции выступают медицинские работники и оборудование. Инфицирование происходит после рождения. Путей заражения несколько – бронхогенный (болезнь зарождается в бронхах), контактный, аэрогенный (редкое заражение через воздух). Чаще начинаются на первой неделе жизни с общих симптомов токсикоза.
Характеризуется признакми острого токсикоза и изменение кислотно-щелочного баланса в сторону увеличения ислотности. Чаще симптомы имеют стёртые признаки, может иметь быстрое течение со смертельным исходом. У младенцев на ИВЛ (искусственной вентиляции лёгких) может развиваться ранняя пневмония – в первые 5 суток, и поздняя – в последующие 5 дней.
Отличие бактериальной инфекции от вирусной у детей

Конечно, только квалифицированный врач и диагностические процедуры могут точно определить природу заболевания. Но родители тоже могут распознать причину «чихания» ребенка, поскольку только они имеют возможность постоянно следить за его состоянием, а не только в приемные часы медицинского кабинета.
Если ребенок становится капризным и ленивым, или наоборот, слишком активным, при этом, он чаще стал испытывать жажду, это повод заподозрить вирусный ринит. Причем, на первых порах слизь выделяется не через нос, а через горло. Если малютке еще нет и годика, у него может измениться режим сна и бодрствования: он будет или спать больше обычного, или напротив, практически не спать. Не давайте ребенку жаропонижающие препараты, в том числе, разрекламированные порошки вроде АЦЦ и Колдрекса, если у ребенка нет высокой температуры.
Вирусные заболевания вроде ОРВИ начинаются «ярко»: температура подскакивает резко, человека бьет озноб, появляются головная боль, насморк и чихание, а также болит горло. Поэтому, даже если малыш еще не умеет разговаривать, симптомы пропустить не получится.
Если вирусная инфекция поразила верхние дыхательные пути ребенка, у него может появиться аллергическая реакция, даже если малыш не аллергик. Если температура тела сильно повышена, аллергия может проявиться кожная (крапивница) или пищевая (на обычные продукты и питье).
Еще одно яркое отличие вирусной инфекции от бактериальной – одновременные симптомы ринита и конъюнктивита. Именно при вирусном заболевании у человека заложен нос, присутствует насморк и при этом слезятся глаза.

Если у вирусного заболевания инкубационный период быстрый – 1-3 дня, то бактериальная инфекция может развиваться от двух дней до двух недель. Если при подозрении на вирусную инфекцию нужно учитывать социальную жизнь ребенка – общался ли он с «гриппозниками», то при подозрении на бактериологическую форму нужно учитывать не с кем общался малыш, а как он это делал. Испытывал ли сильный стресс, переутомился ли в школе, или наелся мороженого в компании друзей, а также бегал ли с ними по мокрым лужам. Иными словами, заболевания бактериологического характера провоцируют стрессы, усталость и переохлаждение. Все потому, что целый ряд разновидностей бактерий могут годами жить в дыхательных путях человека, абсолютно не обнаруживая свое присутствие и не причиняя вред «хозяину». Но если он испытал стресс или подвергся влиянию холодных температур, бактерии развивают бурную деятельность. Кстати, на бурную деятельность бактерий может спровоцировать и перенесенная вирусная инфекция. Замечали, что в начале обычной простуды выделения из носа и мокрота могут быть прозрачными, а через несколько дней слизь приобретает зеленоватые оттенки? Это значит, что «за дело» уже взялись бактекрии.
Поэтому бактериальная инфекция часто начинается как осложнение простуды. Может появиться отит, который вызвали пневмококки или гемофильная палочка, гайморит, вызванный тем же пневмококком.
Чем вирусное воспаление легких отличается от бактериального?
Лечение бактериальной и вирусной пневмонии отличается, поэтому эффективность в большой степени зависит от качества диагностики. Начнем с того, что каждый из этих типов инфекции опасен по-своему:
| Бактериальная пневмония | Вирусная пневмония |
| Центр медицинских исследований в Солт-Лейк-Сити провел исследование и заявил, что у больных с бактериальным видом воспаления фиксируется повышенный риск сердечно-сосудистых заболеваний. Этот риск сохраняется в течение 90 дней после воспаления легких и превышает риски вирусной группы на целых 60 %. В ходе исследования были изучены около 5 000 историй болезней людей, проходящих лечение стационарно | Вирусное заболевание развивается в разы быстрее, чем бактериальные. Последнее может длиться даже дольше 14 дней, прежде чем результаты станут необратимы. С вирусным типом все серьезнее. Он может развиваться в бессимптомной легкой форме, вызывая тяжелое поражение. В медицинской практике зафиксированы случаи летального исхода, когда смерть наступила уже спустя 2—3 суток после первых симптомов. Главные опасности вирусного воспаления — непредсказуемость и сверхбыстрое прогрессирование |
Воспаление с вирусным возбудителем может вызываться значительным числом инфекций: в частности, парагрипп, респираторно-синцитиальный вирус и аденовирус. Все вышеперечисленные относятся к категории вирусов гриппа.
С другой стороны, воспаление может быть спровоцировано также теми инфекциями, которые к перечню ОРВИ не относятся: например, вирус кори, ветрянки, краснухи, герпеса, цитомегаловирус или вирус Эпштейна-Барр. Некоторые из них (как, например, герпес) ведут к легочному воспалению только у людей с нарушением работы иммунной системы. К ним относятся новорожденные и ВИЧ-инфицированные.
Вирусное воспаление появляется, как правило, в течение первых дней после начала ОРВИ вместе с другими симптомами. Бактериальная форма — наоборот: она чаще становится осложнением перенесенной болезни.
Обратите внимание! В отличие от вирусного типа, бактериальный чаще развивается под конец течения основного заболевания: приблизительно на 4—7-й день после первых симптомов ОРЗ или ОРВИ. Симптомы кашля слабо различаются
В обоих случаях он сухой и плавно переходит в мокроту, сопровождается болевыми ощущениями в области груди. Диверсифицировать эти болезни можно по самой мокроте
Симптомы кашля слабо различаются. В обоих случаях он сухой и плавно переходит в мокроту, сопровождается болевыми ощущениями в области груди. Диверсифицировать эти болезни можно по самой мокроте.
Бактерии запускают процесс гниения, поэтому мокрота будет более сгущенной и помутневшей. Она также может приобретать зеленоватый или желтоватый оттенок. Вирус в свою очередь просто оказывает разрушительное воздействие на клетки легких, не вызывая гниения. При вирусном воспалении легких мокрота будет прозрачной. В крайнем случае будет содержать небольшие кровяные сгустки.
Обратите внимание! Кровяные сгустки в мокроте при вирусном воспалении — звонок для срочного обращения к врачу и начала стационарного лечения
Лечение
Для медикаментозного лечения бактериальной пневмонии используют антибиотики широкого спектра. Их форма и способы приема зависят от тяжести переносимого заболевания.
Если в течение первых дней положительная реакция на антибиотики не наблюдается, необходима замена препарата и проведение дополнительных лабораторных исследований. Также назначаются отхаркивающие и иммуностимулирующие препараты.
При вирусном характере болезни лечение антибиотиками не принесет положительного результата. В данном случае назначаются противовирусные препараты, дополненные жаропонижающими и муколитическими средствами. При острой дыхательной недостаточности (одышка, посинение губ, носа и ногтей) рекомендуется применение оксигенотерапии – кислородной подушки.
Бактериальная и вирусная пневмонии не только имеют разные возбудители, но и отличаются между собой клиническим течением. Это обязательно нужно учитывать при назначении лечения, чтобы достичь максимально быстрого выздоровления пациента.
Подробнее о бактериальной этиологии пневмонии >,>,
Подробнее о вирусной этиологии пневмонии >,>,
Как лечится вирусное воспаление легких?
При тяжелом течении заболевания требуется немедленная госпитализация пациента. Также это относится к группам людей, которые имеют повышенный риск летального исхода. Например, новорожденные и люди преклонного возраста. Когда течение болезни проходит в легкой форме, необходимо только наблюдение врача. При бактериальной пневмонии применяются антибиотики широкого спектра. При вирусной используются специальные лекарства против вируса-возбудителя.
Воспаление на фоне гриппа, например, лечится принятием «Осельтамивира» или «Занамивира». Они применяются первые два дня после первых проявлений. РСВ можно вылечить с помощью «Рибавирина». При ветрянке или герпес-вирусе применяется «Ацикловир» и т. д. Каждому вирусу и типу вирусов соответствует определенное лекарство.
Обратите внимание! Препарат не сработает, если вирус-возбудитель был определен неправильно. Все вышеперечисленные препараты нельзя принимать самостоятельно
Они должны быть выписаны вашим лечащим врачом после детальной диагностики.
Симптомы пневмонии
Бактериальная пневмония
Бактериальная пневмония развивается, когда бактерии попадают в легкие и начинают размножаться. Это вызывает иммунный ответ, который приводит к воспалению в нижних дыхательных путях. Существует два типа бактериальной пневмонии: типичная и атипичная. Атипичная пневмония отличается от типичной следующим образом:
- может проявляться несколько иными симптомами
- рентгенография грудной клетки может отличаться
- реагируют на различные антибиотики
Наиболее распространенным типом типичной бактериальной пневмонии является пневмококковая пневмония, вызываемая бактериями Streptococcus pneumoniae. Бактерии, которые вызывают атипичную бактериальную пневмонию:
- Mycoplasma pneumoniae
- Chlamydophila pneumoniae
- Legionella pneumophila
Симптомы бактериальной пневмонии могут включать
- хрипы в груди при дыхании или кашле
- кашель, который может проявляться желтой, зеленой, коричневой или кровянистой слизью
- боль в груди, которая может усиливаться во время кашля или физической активности
- одышка
- температура выше 38°C или ниже 35°C
- учащенное сердцебиение и дыхание
- головная боль
- усталость
- боли в теле
Вирусная пневмония
Вирусная пневмония развивается в ответ на вирусную инфекцию. Как правило, поражаются оба легких. У взрослых наиболее распространенной причиной вирусной пневмонии является вирус гриппа. У детей наиболее частой причиной является респираторно-синцитиальный вирус.
Многие типы вирусов могут вызывать вирусную пневмонию, в том числе
- риновирус
- аденовирус
- коронавирус
- вирус простого герпеса
- вирус краснухи, вызывающий корь
Симптомы вирусной пневмонии очень похожи на симптомы бактериальной пневмонии. Однако пациенты могут иметь дополнительные симптомы, такие как:
- симптомы гриппа
- желудочно-кишечные симптомы, такие как диарея или рвота
- сыпь
Грибковая пневмония
Грибковая пневмония чаще поражает людей с хроническим основным заболеванием или ослабленной иммунной системой вследствие болезни или использования иммунодепрессантов. Наиболее распространенным типом грибковой пневмонии в таких популяциях является пневмоцистная пневмония (ПЦП).
Pneumocystis jirovecii – это грибок, вызывающий ПЦП. Грибок прикрепляется к альвеолам в легких, побуждая иммунную систему запускать воспалительную реакцию. Именно эта реакция вызывает повреждение легких. У человека также может развиться грибковая пневмония после воздействия грибковых спор из почвы. В почве существуют следующие виды грибков, вызывающих пневмонию:
- Кокцидиоидомикоз
- Гистоплазмоз
- Криптококк
Симптомы грибковой пневмонии включают
- сухой кашель
- лихорадку
- затрудненное дыхание, которое может наступить внезапно или постепенно ухудшаться в течение нескольких недель
Лечение
В фармакологическом лечении бактериальной пневмонии используются самые разные антибиотики. Их форма и способы приема зависят от степени тяжести перенесенного заболевания.
Если в первые дни нет положительного ответа на антибиотики, необходимо сменить препараты и провести дополнительные лабораторные исследования. Также назначаются отхаркивающие и иммуностимулирующие препараты.
Если болезнь носит вирусный характер, лечение антибиотиками не даст положительного результата. В этом случае назначают противовирусные препараты, дополняют жаропонижающими и муколитическими средствами. При острой дыхательной недостаточности (одышка, посинение губ, носа и ногтей) рекомендуется кислородная терапия — кислородная подушка.

Бактериальные и вирусные пневмонии не только имеют разные возбудители, но и различаются клиническим течением. Это всегда необходимо учитывать при назначении лечения, чтобы добиться скорейшего выздоровления пациента.
Лимфоцитоз или моноцитоз — это абсолютное или относительное увеличение количества лимфоцитов или моноцитов. Уменьшение их количества называется лимфопенией или моноцитопенией. Исправьте информацию.
Вы правы, автор допустил опечатку. (Хаус) Спасибо.
Спасибо, что взяли слово. Исправлено.
В некоторых случаях пневмония вызвана высокой активностью псевдомонад, затемпотребуются специальные антибиотики.
У меня была реакция на одышку, слабость, боли в спине и животе, это говорит о 2-х сторонней бронхопневмонии, как это возможно, что нет ни температуры, ни кашля?
Пневмония нередко протекает без лихорадки и кашля. Возможно, симптомы еще не проявились. Но чаще всего интерстициальной пневмонией, самой распространенной в этом году, является коронавирус. Еще одной причиной отсутствия симптомов заболевания может быть иммунодефицит. В любом случае узнайте причину у врача.
В апреле, примерно с 5 или 6 апреля, была засуха. изнуряющий кашель, сильная боль в груди спереди, сдавленная корсетом и в то же время расписание изнутри, мышцы рано ощущаются, сильная боль в суставах и мышцах, пердение в горле небольшие болезненные симптомы при глотании, как будто что-то мешает и все покрыто шипучим песком; головная боль, красные глаза и болезненные ощущения, будто вы очень устали; отдыхать даже в положении лежа, как будто все время бежишь сто метров … Температура 37-37. Врач в муниципалитете послал меня на рентген и сказал, что рентген хороший, но прописал мне таваник 1000 мг в день в течение 15 дней + азитромицин 500 мг в течение 12 дней + противогрибковое средство в течение семи дней, три раза в день + амбробене . Подходит к концу второй месяц, кашляю легкие, болит спина в области ребер; У меня диарея (скорее всего, от лекарств, но пока не могу ее остановить). Направление мазка получено со скандалом, безрезультатно. Нет направления на рентген или компьютерную томографию, она утверждает, что здорова. Как-то … Что можно отнести к этим симптомам. Я уже пила антибиотики, тот же сухой кашель, хрипы при дыхании (скорая помощь не может госпитализировать без анализов и направлений, но говорят, что из-за нехватки места из-за эпидемии), для облегчения дыхания принимаю эуфилин и воспользуйтесь ингалятором, иначе не будет. Хронические заболевания — нефрит, заболевание щитовидной железы, реамотоидный поллилиптрит, а также пол года не могут найти причину лимфоденита, сахар существенно не повышен.
Без данных лабораторных и инструментальных исследований однозначно сказать нельзя, но клиническая картина напоминает вирусную пневмонию. Следует провести тест на коронавирусы и повторить рентген грудной клетки, так как рентгеновские симптомы пневмонии могут быть отложены по сравнению с клинической картиной. Но в то же время причиной данной симптоматики могут быть и другие патологические состояния. Однако в случае пандемии, в первую очередь, следует исключить коронавирусную пневмонию, а если она не подтвердится, следует провести дальнейшие диагностические исследования.
Хорошая статья, рад, что нашел, у молодого человека тоже был кашель с мокротой, потом началось кровотечение. Я уже думала, что у него туберкулез, очень переживала за него. Моему другу из колледжа быстро поставили диагноз смешанная пневмония. Может быть, врач поставил ей неправильный диагноз, и ей следует обратиться к кому-нибудь другому.
Интересно, была ли у меня лихорадка 39, когда у меня была бактериальная пневмония; это был неправильный диагноз?
Симптомы вирусной пневмонии
В зависимости от типа возбудителя (вида пневмонии), заболевание развивается по-разному. Например, у аденовируса острое начало — высокая температура, конъюнктивит, сильная боль в горле и продолжительный ринит, при котором дышать носом невозможно.
Пневмония, ассоциированная с коронавирусом, развивается постепенно — сначала пациента беспокоит лишь невысокая температура (37-38 градусов) и слабость. Однако температура держится долго, а на 5-6 сутки может появиться явная одышка, боль в груди, сухой кашель, указывающие на поражение легких.
Тяжело протекает воспаление легких, которое возникает на фоне обычного гриппа. Болезнь начинается с высокой температуры (до 40 градусов), озноба, затуманенности сознания, болей во всем теле. Пациента беспокоят респираторные симптомы (кашель и насморк), выраженные однако не очень интенсивно. Иногда вирус поражает слизистую оболочку глаз (коньюктивит). Больному эпизодически становится лучше, однако за короткий срок самочувствие может резко ухудшиться. О критическом состоянии пациента свидетельствует посинение кожи, усиление кашля и одышки, боли и снижение артериального давления.
К наиболее распространенным, общим признакам вирусной пневмонии относятся:
- Высокая температура;
- Симптомы острого респираторного заболевания: кашель, нехватка воздуха, одышка;
- Слабость, ломота в костях, мышечные и головные боли;
- Боль или дискомфорт в грудной клетке;
- Нарушение работы других органов и систем: расстройство ЖКТ, коньюктивит, скачки давления.
При подозрении на вирусное поражение легких измеряют сатурацию крови кислородом с помощью пульсоксиметра. Если показатель ниже 95%, пациенту необходима медицинская помощь. В норме процент насыщенности крови кислородом = 100 или близок к этой цифре.
Диагностика
Обследованием занимаются врачи-пульмонологи, терапевты или инфекционисты.
Обращаться к специалистам нужно при первых признаках пневмонии: кашле, одышке, повышении температуры тела, слабости и сонливости, головных болях. В системе или в определенной части.
Мероприятия включают в себя:
- Устный опрос.
- Сбор анамнеза.
- Аускультацию. Выслушивание легочного звука.
- Рентген. Рутинная методика.
- Если предыдущий способ не дает достаточной информации, назначается КТ (компьютерная томография), которая позволяет диагностировать размеры очага воспаления и его расположение наиболее точно.
- Анализы крови: общий и биохимия.
- Исследование мокроты.
- Серологические тесты.
- ПЦР, ИФА.
Этого хватает для постановки диагноза. Медлить нельзя.
Причины пневмонии
Основная причина всех форм воспаления легких — попадание инфекции в дыхательные пути ребенка. В нормальном, здоровом состоянии организм способен справиться с инфекцией и не допустить ее проникновения в нижние дыхательные пути. При местном и общем ослаблении защитных сил развивается воспаление. Предрасполагающими факторами к этому могут быть переохлаждения, гиповитаминоз, перенесенные операции, долгий вынужденный постельный режим, длительное лечение антибиотиками, частые контакты с инфекционными больными и пр.
Есть несколько форм возбудителей воспаления:
Первичная пневмония формируется при попадании инфекции непосредственно в органы дыхания. Вторичная представляет собой чаще всего бактериальное осложнение вирусных респираторных инфекций.






























