в

Чем от отличается МРТ без контраста от МРТ с контрастом

Какое мрт исследование лучше?

Показания и противопоказания

Проходить МРТ нужно только после консультации с врачом, если он посчитает процедуру необходимой

В некоторых случаях поставить диагноз удается без нее, при этом немаловажно учитывать ряд противопоказаний, т.к. для некоторых людей проведение томографии может оказаться вредным и даже опасным

Поэтому нужно сообщить о наличии заболеваний врачу до проведения исследования.

Показания

Некоторые болезни могут быть полноценно диагностированы только с помощью магнитно-резонансной томографии, проведенной с использованием контрастного вещества. Поэтому у ряда пациентов, пришедших к врачу с жалобами на проблемы, касающиеся головы, нет выбора, а такой метод исследований становится единственными гарантированным способом получить точный диагноз и сразу заняться терапией.

Назначить процедуру могут при следующих проблемах:

  • Подозрения на наличие опухолей (особенно злокачественных);
  • Наличие метастаз головного или спинного мозга;
  • Воспаление головного мозга;
  • Нарушения в работе кровеносных сосудов;
  • Присутствие неопределенной инфекции в организме;
  • Рассеянный склероз, необходимость определения его стадии;
  • Восстановление после проведенной хирургической операции на мозге или позвоночнике;
  • Проявление различных симптомов (обмороки, регулярное головокружение, интенсивные головные боли, судороги, снижение чувствительности кожных покровов на лице);
  • Черепно-мозговые травмы;
  • Проверка возможности проведения хирургической операции.

Показаниями к проведению исследования других органов могут служить различные патологии, проявления серьезных симптомов, а также период восстановления, требующий постоянного контроля за здоровьем пациента.

Зачастую после терапии больным вновь назначают прохождение МРТ с контрастом. Это необходимо для отслеживания динамики выздоровления, а также предупреждения возможных рецидивов. Иногда пациентам могут назначать регулярные проведения томографии с определенной периодичностью.

Противопоказания

Люди, которые уже испытали на себе этот метод исследования, могут уверенно сказать, что никакого негативного эффекта после процедуры они не испытали. Однако у МРТ головного мозга человека с контрастированием есть ряд противопоказаний. Если их не учитывать, то есть риск столкнуться с неприятными или даже тяжелыми последствиями. Ограничения связаны с воздействием магнитных волн, которые могут оказаться вредными для части пациентов.

Нельзя делать МРТ при:

  • Утолщениях кожных покровов;
  • Нарушениях или патологиях почек;
  • Астме любого типа;
  • Болезнях крови;
  • Проблемах с сердечно-сосудистой системой;
  • Некоторых психических нарушениях;
  • Приеме лекарственных препаратов с бета-блокаторами.

Также запрещено проводить процедуру при алкогольном или наркотическом опьянении пациента и сильном обезвоживании организма. Если у больного есть металлические имплантаты, стоматологические протезы, внутриматочные спирали, металлические осколки внутри тела после получения травм, перманентный макияж и т.п., то до МРТ его не допустят. Это могло бы не только значительно исказить результаты тестирования, но и навредить обследуемому.

Во время беременности проходить исследование можно только после 12 недель вынашивания. Если пройти его раньше, то есть небольшой риск развития отклонений у плода, т.к. воздействие магнитных волн может негативно сказаться на формировании внутренних органов малыша. Не рекомендуют процедуру также при грудном вскармливании, чтобы избежать вредного воздействия на молоко матери.

Иногда МРТ может давать побочные эффекты. Они вызываются в 2-х случаях: при нарушении противопоказаний или при индивидуальной непереносимости контрастного вещества. В первом случае возможно ухудшение самочувствия больного, обострение имеющихся противопоказанных заболеваний или развитие осложнений. Во втором случае может проявиться аллергическая реакция, которая вызовет массу трудностей. Также иногда у пациентов повышается артериальное давление, появляется незначительное раздражение кожи с зудом.

Если пациент страдает от клаустрофобии, то ему тоже будет отказано в проведении классического МРТ. Для него порекомендуют пройти процедуру с использованием аппарата открытого типа. Такое исследование менее эффективно, но может оказаться очень нужным при боязни замкнутых пространств.

Как проводят исследование с контрастом?

Так же, как и обычное исследование, томографию внутренних органов делают на томографе с соблюдением общих принципов – отсутствия на теле больного металлических предметов и имплантов из металла (кроме титана).

За несколько минут до начала сканирования пациенту делают внутривенную инъекцию красящего вещества – это совершенно безболезненно и не вредно.

Перед введением делается проба на отсутствие аллергических реакций. Обычно применяются соли гадолиния.

Фото:

Сейчас прошли успешные испытания и получили патент несколько препаратов на основе хелатных форм гадолиния. Принцип их воздействия на организм одинаковый, разные только торговые названия.

Сам препарат низкотоксичен, его использование не вредно, в течение нескольких часов после окончания процедуры гадолиний выводится почками без особой нагрузки. Попадая в кровеносное русло, он «светится» в венах, артериях и мелких сосудах.

Структура контраста позволяет многократно усилить магнитный сигнал от аппарата, а «подсветка», которая обеспечивается за счет силы сигнала, даст возможность получить снимки высокой точности.

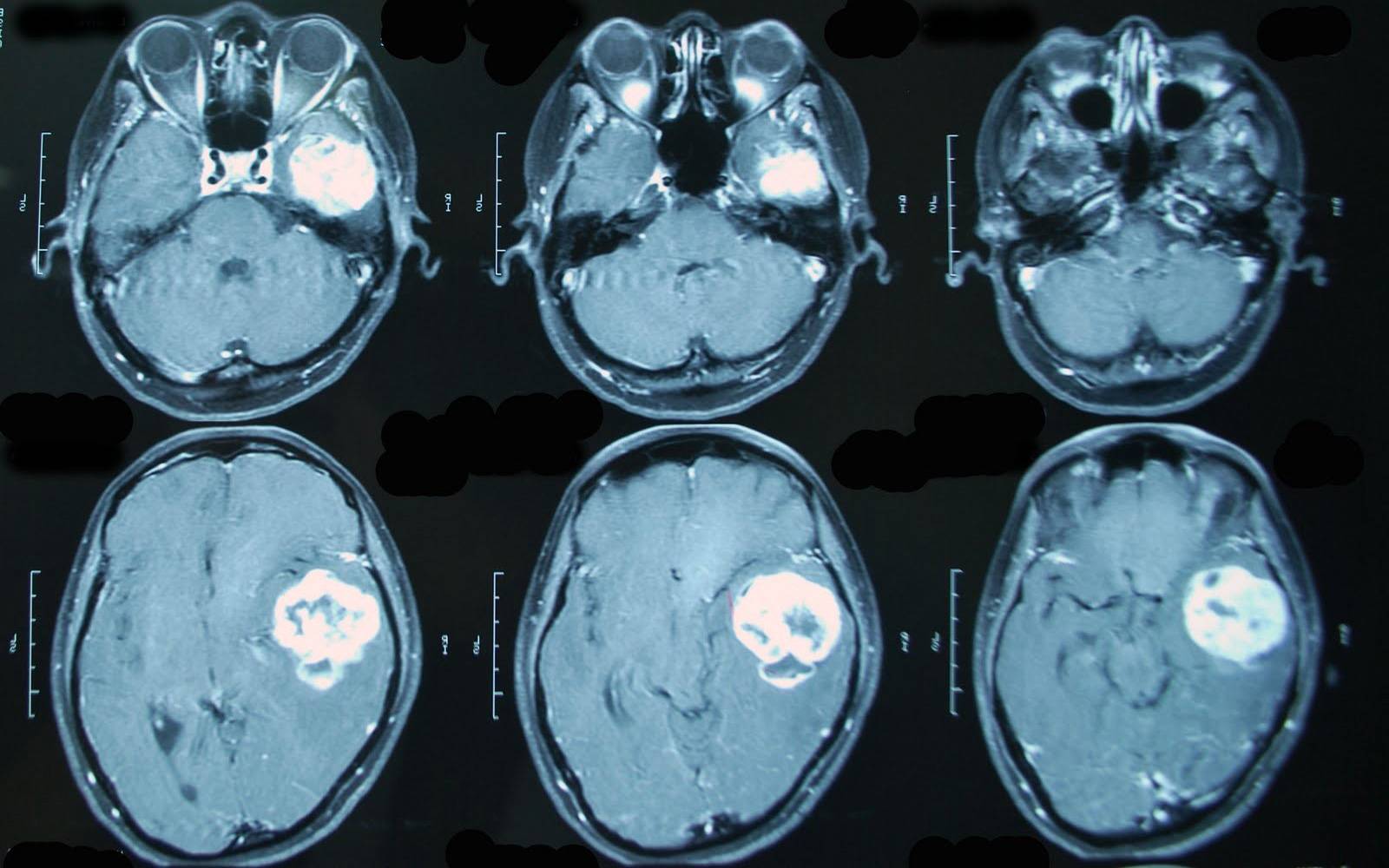
МРТ головного мозга с контрастом обязательно при диагностике онкологических процессов.

READ  Выявление патологий мочеполовой системы на МРТ малого таза у мужчин

Диагностирование эндокринной недостаточности или гиперсекреции эндокринных желез также включает в себя МРТ гипофиза с контрастом.

Фото:

Исследование с гадолинием может проводиться и для оценки процессов в организме (работы сердца, поджелудочной, печени, оценки состояния сосудов).

В таком случае вся доза вещества вводится не сразу, а через капельницу небольшими порциями. Так могут исследовать сердце, проводить диагностику процессов синтеза желчи в печени.

МРТ гипофиза с контрастом также позволяет оценить не только патологию или ее отсутствие, но и рассмотреть физиологические процессы.

При исследовании органов малого таза и простаты с контрастом ввиду значительного числа мелких сосудов применяется железо, выступающее в роли супермагнетика.

Рак груди – частое заболевание. Теперь, вместо болезненной пункции, при подозрении на него пациент может пройти МРТ молочных желез с контрастом.

Оценка состояния органов малого таза и простаты даст возможность быстро установить патологию и причину бесплодия.

Патология ЖКТ (печени и поджелудочной) для наблюдения за опухолевыми процессами также показана с введением контраста.

Рак поджелудочной – одно из самых тяжелых онкологических заболеваний, существующие терапевтические методы направлены лишь на сдерживание опухоли. Оценка лечения проходит во время МРТ с контрастом.

МРТ головного мозга с контрастом проводят для оценки последствия травм и после оперативного вмешательства.

Видео:

Своевременная диагностика репродуктивной системы мужчин и женщин (органов малого таза и простаты) позволяет выяснить проблему, чаще всего связанную с бесплодием – это причина назначения томографии органов малого таза или простаты.

Оценить их функцию, подтвердить или исключить новообразования и воспалительные процессы – задача томографии.

Диагностика сердца, вен и артерий также проходит с введением контраста. Обследование покажет все виды как врожденных патологий, так и являющихся последствиями инфаркта.

Проведение обследования

Проведение МРТ и компьютерной томографии с контрастированием, если нет никакого противопоказания, осуществляется в два этапа: подготовка пациента и сама процедура. Стоит отметить, что подготовительный процесс нельзя игнорировать, иначе могут возникнуть проблемы во время обследования и при выходе контрастирующего вещества из организма. К тому же может быть искажен полученный результат.

Подготовка пациента

В день проведения исследования и ночью перед ним не рекомендуется плотно есть, нельзя употреблять продукты, вызывающие повышенное газообразование (капусту, горох, сдобу и др.).

За два часа до МРТ необходимо полностью отказаться от еды и всевозможных напитков. Исключение составляет обследование брюшной полости (пить и есть запрещается за 5 часов до процедуры) и мочеиспускательной системы (за час до процедуры необходимо выпить литр воды).

Перед входом в кабинет, где будет проводиться обследование, необходимо снять все украшения и одежду, в которых присутствуют металлические элементы. Запрещается заносить мобильные телефоны и любые другие электронные устройства, т.к. под действием магнитного поля они могут сломаться. К тому же женщинам не рекомендуется использовать косметику. Дело в том, что в некоторых видах теней, пудры, помад могут находиться мелкие металлические частицы, которые помешают проведению обследования, особенно при МРТ головного мозга с контрастом.

На следующем этапе подготовки будет проведена беседа с врачом. Он объяснит пациенту, как будет проводиться процедура, что он будет ощущать и слышать, как вести себя в непредвиденной ситуации. Затем медсестра проведет анализ аллергической реакции на препарат и поставит катетер. Только по окончанию всех этих подготовительных мероприятий можно будет начинать само обследование.

Ход процедуры

Пациенту помогают лечь на специальный стол томографа. В это время через катетер постепенно внутривенно вводят вещество, например, «Гадовист» при МРТ или «Омнипак» при компьютерной томографии. Его количество рассчитывают в соответствии с весом больного (на 1 кг массы тела). Дальше процесс не отличается от обычной томографии. Во время процедуры запрещается двигаться, иначе это отразится на точности результатов. Сколько длится процедура зависит от объекта обследования, но не более сорока минут в случае магнитно-резонансного исследования.

Описание снимков занимает около часа. Могут возникать такие последствия, как головная боль и головокружение, поэтому лучше после процедуры отдохнуть несколько часов.

Что такое МРТ с контрастом

В некоторых случаях для получения точной клинической картины врач назначает МРТ с применением контрастного вещества. Благодаря использованию специального препарата удается получить более детальное изображение исследуемого среза тела. Его вводят в организм пациента преимущественно внутривенно. Однако в некоторых случаях препарат может быть введен перорально. Как правило, это происходит при исследовании пищевого тракта.

Давайте разберемся, в каких случаях назначается МРТ с контрастом, что это вообще такое и какими преимуществами обладает данный способ диагностики.

Используемое при томографии контрастное вещество способно подсвечивать ткани, что фиксируется чувствительным медицинским оборудованием. При воздействии на красящий препарат мощного магнитного поля появляется более четкое изображение исследуемого органа. Скорость распространения контрастирующего вещества по сосудам напрямую зависит от интенсивности кровотока в месте исследования.

Принцип действия красящего вещества следующий:

  • При введении внутривенно контрастное вещество распространяется с током крови по сосудам.
  • Так как пораженные ткани способны изменять под воздействием контраста свой цвет, врачу удается с точностью определить границы, размеры и структуру патологий или злокачественных опухолей. К тому же можно выявить, есть ли метастазы, и найти места их локализации.

Что необходимо учесть при проведении процедуры МРТ с контрастированием:

  1. Есть ли у пациента аллергия на компоненты контрастирующего вещества. В случае наличия аллергической реакции диагностика с применением контраста не проводится. Вместо этого назначается обычная процедура магнитно-резонансной томографии.
  2. Беременность или подозрение на нее. В большинстве случаев МРТ не назначается на ранних стадиях беременности, так как влияние магнитного поля на развитие плода до конца не изучено.
  3. Наличие в организме пациента каких-либо металлических предметов или имплантатов. Так как в процессе диагностики используется магнитное поле высокой мощности, оно способно притягивать к себе металл и двигать его. Это может послужить не только появлению резких болей во время процедуры, но и стать угрозой для жизни пациента.
  4. Наличие в организме пациента кардиостимулятора или других электронных устройств. Магнитное поле не только может повлиять на их нормальную работу, но и полностью вывести из строя.
  5. Клаустрофобия или различные психические нарушения у пациента. В данном случае врач может дать больному седативный препарат, который успокаивающе подействует на психику пациента и позволит ему на время проведения диагностики оставаться в неподвижном состоянии.

Применяемые при МРТ с усилением контрастирующие парамагнетические вещества не являются токсичными и не содержат в своем составе йода. Поэтому они достаточно редко вызывают аллергическую реакцию или какие-либо негативные последствия. Кроме того, для проведения диагностики врач берет минимальное количество вещества, что значительно понижает возможность появления аллергии.

Чаще всего для изготовления подобных препаратов используют соли или ионы гадолиния, которые являются полностью безопасными для здоровья человека. Они также отличаются хорошей растворимостью и высокой эффективностью, в большинстве случаев не вызывают аллергии и каких-либо побочных эффектов.

На сегодняшний день чаще всего используют следующие контрастирующие препараты:

  • Гадовист.
  • Примовист.
  • Омнискан.
  • Дотарем.

Как вводят контрастное вещество?

Препараты с красящим веществом вводят перорально, ректально, внутривенно. Последний вариант используют чаще, и он включает 2 способа введения:

  • однократная инъекция через шприц — необходимый уровень вещества в кровеносном русле наблюдается через пару секунд;
  • капельное введение автоматическим инжектором (болюсное динамическое наблюдение). Скорость поступления раствора в сосуды фиксирована и определяется врачом.

При болюсном введении врач может сравнивать поэтапные снимки в течение всего исследования, так как краситель постепенно накапливается в организме. Метод введения препарата зависит от типа протокола МРТ, а дозировку рассчитывают индивидуально.

Процедура

Томография области малого таза может проходить несколькими способами:

  • абдоминальная МРТ органов малого таза;
  • эндоректальная МРТ органов малого таза у мужчин;
  • эндовагинальная МРТ органов малого таза у женщин;
  • МРТ малого таза с контрастом.

В большинстве случаев пациенту назначают сделать абдоминальную томографию, когда в ходе обследования МРТ катушка ставится сверху на область исследования, и пациент завозится внутрь томографа. Этот метод неинвазивный и не причиняет никаких неприятных ощущений пациенту. В случае сложных опухолевых поражений простаты мужчину могут направить на эндоректальную томографию. В ходе этого обследования специальная тонкая МРТ катушка вводится на 3 см в прямую кишку. Этот метод обладает наибольшей разрешающей способностью, но у чувствительных мужчин может вызвать легкий дискомфорт. В ходе ректальной томографии снижается расстояние между МРТ катушкой и приемником, что всегда улучшает качество получаемых снимков.

По тому же принципу действует эндовагинальная МРТ органов малого таза у женщин, однако катушка вводится внутрь влагалища.

Во время процедуры томографии основная задача пациента – лежать без движения на протяжении всего исследования. Средняя продолжительность скрининга составляет 20-30 минут. Иногда рентгенолог может давать команды по задержке дыхания. Исполнять их нужно правильно. От этого будет зависеть качество получаемых томограмм.

Зачем нужно контрастное вещество в МРТ

Так что же такое МРТ с контрастом и для чего это нужно? Упрощенно говоря, сам процесс проведения процедуры ничем не отличается от аналогичной процедуры проведения МРТ без контраста. Применение контрастных средств (например, Омнискан) улучшает качество изображений, получаемых в ходе сканирования.

Их вводят пациенту внутривенно прямо во время исследования. Они быстро разносятся кровью по организму, накапливаясь в опухолях, потому что к ним приток крови, как правило, сильнее. Применение контраста позволяет значительно лучше визуализировать сосуды и капилляры. Особенно актуально это при исследовании сосудов, головного или спинного мозга, органов малого таза.

В чём разница между сканированием с контрастом и без? Обычно первая процедура МРТ делается без контраста, если нет особых показаний к этому. Если по результатам исследования у врача остались или появились новые вопросы, то назначается МРТ с контрастированием.

Но в некоторых случая сразу же делается томография с контрастом. Чаще всего это происходит, когда требуется исследовать сосуды пациента. Без контраста они значительно хуже визуализируются на снимках.

МРТ с контрастным препаратом показано в следующих случаях:

  • если есть подозрения на злокачественное образование. Контраст «высветит» его, будут видны его контуры и размеры, можно достоверно определить его расположение в органе;
  • необходимо проверить работу сосудов;
  • если требуется контроль за состоянием пациента после хирургического вмешательств.

Что показывает МРТ с контрастом

Мощное электромагнитное поле, генерируемое в камере томографа, изменяет вектор колебания субатомных частиц, присутствующих в каждой клетке человеческого тела. В ответ на это протоны в тканях и органах формируют энергетический всплеск, фиксируя которой, можно снять проекцию виртуального среза тканей в любой плоскости.

На основании этих проекций формируется представление о реальных физических размерах, взаимном месторасположении, структуре и состоянии любого внутреннего органа. По МРТ-снимку можно локализировать опухоль с диаметром от 1 миллиметра, найти внутреннее кровотечение, травматическое изменение в тканях или патологию их развития, очаг воспаления и зону инфекционного поражения. Если во время сканирования в кровь пациента ввести контрастное вещество, проекция виртуального среза станет более отчетливой — диагност наведет «резкость» на снимке, повышая точность прогнозов.

Кроме того, МРТ с контрастированием позволяет изучить сетку сосудов и оценить их пропускную способность. Поэтому такую методику диагностики используют во время комплексного сканирования нескольких органов сразу, а также при изучении состояния сердечно-сосудистой системы или внутренних органов со сложной сосудистой структурой (головного мозга, почек, надпочечников, молочных желез).

Разумеется, цена МРТ с контрастом будет несколько выше обычной томографии, но при вводе в кровь пигмента диагност может выявить любую проблему в рамках всего одного сканирования. При проведении МРТ без контраста для постановки точного диагноза необходимо сделать несколько исследований, общая стоимость которых может быть выше одной процедуры с контрастированием.

Процесс проведения МРТ с контрастом

Пигментное вещество, вводимое в кровь пациента, заставляет ткани новообразований изменить цвет на мониторе томографа, проявляя себя даже при незначительном размере опухоли. Контраст подсвечивает метастазы, вскрывает проблемы послеоперационного периода, фиксирует кровотечения и аномальные скопления жидкости в тканях, окружающих внутренний орган.

МРТ сосудов с контрастом позволяет оценить скорость кровотока, выявить тромбозы, патологии суставов и проблемы снабжения костно-хрящевых тканей. Для этого пациенту нужно ввести в кровь порцию контрастной жидкости, в составе которой есть ионы гадолиния, причем ввод контраста может быть как одноразовым, так и динамическим, когда препарат попадает в кровь с помощью капельницы.

Перед сканированием у отправленного на МРТ пациента берут пробу на аллергическую реакцию, провоцируемую пигментным веществом. Поэтому процесс проведения МРТ с контрастом можно разбить на три этапа — подготовку, непосредственно сканирование и расшифровку результата.

Алгоритм проведения МРТ с контрастирующим веществом в крови или желудке пациента не отличается от обычной топографии:

  • Пациент переодевается в особую одежду (без реагирующей на магниты фурнитуры) и укладывается на стол томографа. Введение контрастного вещества обычно происходит именно в этот момент.
  • Лаборант помогает пациенту расположиться на столе и фиксирует катушки. Пациента просят лежать неподвижно. Без этого невозможно гарантировать точность сканирования.
  • Диагност находится в комнате управления томографом. Он управляет ходом подвижной столешницы и параметрами магнитного поля. Влияя на характеристики электромагнитного генератора томографа, можно управлять плоскостью и глубиной сканирования.
  • Проекции виртуальных срезов расшифровываются компьютером томографа, который строит картинку для диагноста.
  • После завершения исследования пациент переодевается и направляется на консультацию к врачу.

В среднем МРТ с контрастом занимает не более 40 минут, однако расшифровка результатов может занять около часа.

Расшифровка (анализ результатов)

Во время дешифровки диагност изучает состояние внутренних органов по проекциям срезов, сделанных с шагом 3-5 миллиметров. На полученных картинках хорошо видны любые отклонения от нормы как в строении, так и в структуре органов и тканей. Сведения об этих патологиях заносятся в особую таблицу и попадают в письменный отчет диагноста. С этим отчетом пациент идет к врачу, выписавшему направление на МРТ.

Как человек реагирует на процедуру контрастирования

Артефакты на МРТ

Артефакты на МРТ – это изменения на снимках, которые нарушают или затрудняют визуализацию, а так же симулируют наличие не существующих изменений или маскируют изменения, имеющие место быть в действительности, но в силу данных помех не видимые на снимке.

Артефакты бывают совершенно разнообразные, зависящие от работы аппарата, наличия инородного материала в области исследования или физологических особенностей пациента, но тем не менее все они подразделяются на группы по причине или проявлению.

Артефакт наложения вызван неправильным планированием срезов – ошибка оператора МРТ, исправляется увеличением поля обзора и зависит от опыта медицинского персонала, а так же от настройки аппарата поставщиком оборудования.

Артефакт неоднородности магнитного поля – вызван наличием металлических предметов в непосредственной близости от области исследования. Так в данном случае из-за брекетов на зубах возникает ложное изображение кровоизлияния в бороздах у основания лобной доли. Данные артефакты не вызывают недоумения у специалистов – врачей МРТ, но могут смущать лечащего врача, который не имеет представления о возможных искажениях, вызванных железом, расположенным рядом с зоной исследования.

Артефакт от металла – тот же артефакт как и от неоднородности поля, но в зоне исследования он способен скрывать целую анатомическую область, не затрудняя диагностику, а делая её полностью невозможной. В то время как обычная рентгенография отлично демонстрирует расположение эндопротеза коленного сустава относительно большеберцовой и бедренной кости.

Артефакт от движения

Во время прохождения МРТ важно сохранять неподвижность в течении всей процедуры сканирования. Иначе на картинке появляются элементы динамической не резкости и размытости, что иногда затрудняет диагностику, а иногда делает её полностью не возможной

Артефакт потока. В организме человека всё время движется не только кровь и сердце, но её и спинномозговая жидкость в полости черепа и позвоночном канале. При МРТ позвоночника в грудном отделе часто встречаются участки “выпадения сигнала” обусловленные потоковым движением спинномозговой жидкости, что у делитантов создаёт ложное впечатление о наличии дополнительных образований в позвоночном канале, которых на самом деле нет.

Иногда артефакты потока в норме отсутствуют и возникают при появлении турбулентности (завихрении) движения. Например когда потоку спинномозговой жидкости препятствует киста в позвоночном канале, не видная на обычных томограммах, но очевидная по наличию завихрений потока на её краях и небольшому смещению спинного мозга.

Зачем нужен контраст и когда его назначают

МРТ с контрастом подразумевает введение препарата в кровеносное русло (хелатные комплексы на основе гадолиния), что позволяет с высокой точностью установить диагноз, в том числе, на начальной стадии заболевания. Это возможно потому, что сигналы от нормального органа и патологически измененного из-за проникновения ионов гадолиния выглядят по-разному, что и фиксирует специальная компьютерная программа, т.е., парамагнитное соединение улучшает визуализацию.

Несмотря на то, что этот неинвазивный и высокоэффективный способ диагностики можно использовать в любой отрасли медицины, преимущественно контрастную магнитно-резонансную томографию назначают для выявления опухолей.

Какие органы чаще всего исследуют с контрастированием

Клинические показания для выполнения МРТ с контрастом могут включать:

стойкие головные боли, причины которых требуют уточнения;

зрительные нарушения, экзофтальм (выпячивание глазного яблока);

поражение лицевого нерва (асимметрия лица);

пальпируемая опухолевая масса в области шеи;

грыжи и протрузии дисков, артроз межпозвонковых суставов;

поражения корешков вертеброгенного или опухолевого характера;

неясные параличи и парезы конечностей, атрофия мышц;

оценка состояния ликворных пространств;

вирусная (менингококковая, герпетическая, сифилитическая) инфекция головного или спинного мозга;

болевой синдром в грудной клетке, новообразования органов и мягких тканей данной области (при наличии противопоказаний к КТ сердца и легких);

опухоли печени, поджелудочной железы, желудка, кишечника, забрюшинного пространства, почек и их метастазы, аномалии строения перечисленных органов, асцит (жидкость в брюшной полости), заболевания гепатобилиарной системы, желтуха и пр.;

патологии сосудов (тромбоз, аневризма, разрыв, деформация), при наличии противопоказаний к КТ с контрастом;

рак простаты, женских репродуктивных органов, мочевого пузыря, прямой кишки;

доброкачественные новообразования области малого таза (ДГПЖ, миома матки, кисты и пр.);

эректильная дисфункция неясной этиологии;

нарушения менструального цикла;

мужское и женское бесплодие;

рак молочной железы в анамнезе, патология на маммограмме и при ультразвуковом исследовании, нуждающаяся в уточнении, пальпируемое новообразование, кровянистые выделения из соска, оценка эффективности химиолучевой терапии, ряд редких генетических синдромов у женщины или ее ближайших родственников (Коудена, Ли-Фраумени, Банаян-Райли-Рувалькабы) в качестве превентивной диагностики, галакторея (выделение молозива из сосков вне беременности и лактации);

изменения в клинико-лабораторных показателях (например, повышение уровня пролактина крови);

повреждения опорно-двигательного аппарата (преимущественно, патологии связок, хрящей, мышц, опухоли мягких тканей). Костные структуры позвоночника лучше видны на КТ.

МРТ с контрастированием показано для планирования объема оперативного вмешательства, так как дает представление о размерах новообразования, его взаимодействии с окружающими структурами.

Иногда стадия онкологического заболевания, выявленная по данным магнитно-резонансной томографии, позволяет отказаться от ненужной операции в пользу химиолучевой терапии, что более эффективно для контролирования опухоли и продления жизни. Запущенный рак с инвазией во внешние структуры виден и на нативной томограмме, но мелкий очаг первичного новообразования лучше визуализируется после дополнительного введения препарата.

В травматологии МРТ с контрастным усилением используют для оценки повреждений при ударах, падении с высоты, тяжелых ранениях с подозрением на внутреннее кровотечение и пр. в отдаленном периоде.

К общим показаниям относят необходимость оценки заболевания в динамике, неоднозначный результат других обследований (УЗИ, КТ, рентгенологических методов и пр.).

Ограничения и противопоказания в МРТ

У МРТ есть несколько ограничений, которые связаны с устройством прибора:

  • полные пациенты весом более 120 кг не поместятся в томограф;
  • к помещениям, где проводится сканирование, предъявляются особые требования: оно должно быть полностью изолировано от электромагнитных полей;
  • контрастное вещество при МРТ может в редких случаях стать причиной кратковременных головных болей и головокружений. Поэтому не рекомендуется садиться за руль сразу после процедуры.

Если говорить упрощённо, то МРТ – это мощный магнит. С этим связаны противопоказания метода:

  • наличие у пациента искусственного водителя ритма, клипсов сосудов, кардиостимулятора, металлических не снимаемых протезов, т.е. всего того, что может быть примагниченно. Это абсолютные противопоказания, потому что даже малейшие сдвиги имплантов приводят к серьёзным травмам;
  • татуировки на теле пациента, выполненные с применением красителя, в состав которого входит ферромагнитный компонент, приведут к появлению сильного ожога;
  • относительные противопоказания – беременность первого триместра. В этот период формируются все внутренние органы плода, поэтому любое вмешательство в этот процесс недопустимо;
  • не рекомендуется выполнять сканирование больных, находящихся без сознания;
  • сильная клаустрофобия у пациента. В некоторых случаях им вводится сильнодействующий седативный препарат.

Тем не менее, в большинстве случаев врачи отдают предпочтение именно простому МРТ или МРТ с контрастным веществом, потому что его достоинства перевешивают недостатки.

Добавить комментарий

банные принадлежности

Отличие бани от сауны