Содержание гемоглобина
Гемоглобин состоит из двух типов белковых цепей – α-цепей и β-цепей. У человека гемоглобин состоит из α-цепей и β-цепей, в то время как у лягушек гемоглобин состоит только из α-цепей.
Каждая цепь гемоглобина содержит гем – комплекс, который способен связываться с молекулами кислорода. Одна молекула гема способна связываться с одной молекулой кислорода. У человека каждый гемоглобин содержит 4 гема, а значит может связываться с 4 молекулами кислорода. У лягушек гемоглобин содержит только 1 гем, поэтому каждый гемоглобин может связываться только с 1 молекулой кислорода.
- Содержание гемоглобина у человека значительно выше, чем у лягушек, что обеспечивает более эффективный перенос кислорода в организме человека.
- Уникальная структура гемоглобина человека, состоящая из 4 гемов, позволяет ему эффективно связываться с кислородом и доставлять его в ткани организма.
- Гемоглобин лягушек, содержащий только 1 гем, имеет более низкую способность связываться с кислородом, поэтому перенос кислорода в организме лягушек менее эффективен.
6.Оснащение.
Таблицы:
№11 «Модели цитоплазматической мембраны»;
№12 «Жидкостно-мозаичная модель мембраны»,
микроскопы, предметные и покровные
стекла, колбочки с 0,9% и 20% растворами
NaCl,
пипетки, полоски фильтровальной бумаги,
дистиллированная вода, веточки элодеи.
7.1.
Контроль
исходного уровня знаний и умений.
Выполнение тестовых
заданий.
7.2. Разбор с
преподавателем узловых вопросов,
необходимых для освоения темы занятия.
7.3.
Демонстрация преподавателем методики
практических приемов по данной теме
.
Преподаватель
знакомит студентов с планом и методикой
проведения практической работы.
7.4. Самостоятельная
работа студентов под контролем
преподавателя
Практическая
работа
1.
Строение клетки листа элодеи
Материал
и оборудование:
микроскопы, предметные и покровные
стекла, дистиллированная вода, пипетки,
полоски фильтровальной бумаги, веточки
элодеи, таблицы.
Изучаемые
объекты:
элодея.
Цель
практической работы:
Изучить
строение растительной клетки и найти
отличия от животной клетки
Пользуясь
пинцетом и ножницами, отрезать от веточки
элодеи кусочек листа размером 4-5 мм,
положить его на предметное стекло в
каплю воды, покрыть покровным стеклом
и рассмотреть препарат при малом и
большом увеличении микроскопа. Лист
элодеи состоит из 2-х слоев клеток,
поэтому, изучая его, нужно вращать
микрометрический винт, чтобы четко
увидеть верхний или нижний слой. Клетки
элодеи почти прямоугольной формы, имеют
плотные оболочки. Между оболочками
отдельных клеток заметны узкие
межклеточные ходы. Ядра в клетках не
видны, поскольку в неокрашенной клетке
показатели преломления ядра и цитоплазмы
почти одинаковы. В цитоплазме клеток
находятся зеленые округлые пластиды –
хлоропласты. Хлоропласты маскируют
ядро, и его трудно обнаружить в клетке.
Более светлое пространство в цитоплазме
– вакуоли, заполненные клеточным соком.
При температуре выше 10°C
в клетках элодеи можно заметить движение
цитоплазмы, прилегающей к оболочке
клеток, по движению зеленых пластид
вдоль стенок клеток. В случае отсутствия
движения пластид, его можно вызвать,
разрезая листочек, на мелкие части или
прибавляя к воде несколько капель
спирта.
Зарисуйте при
большом увеличении микроскопа 3-4 клетки
листа элодеи.
Сделайте
обозначения:
Оболочку,
Цитоплазму,
3. Хлоропласты,
4. Вакуоли с
клеточным соком.
Данная работа выполнена с учетом требований ФГОС. Работа может выполняться как практическая или как лабораторная, в зависимости от поставленной цели. Место работы в учебном процессе: Тема «Внутренняя среда организма. Состав и функции крови» , 8 класс.
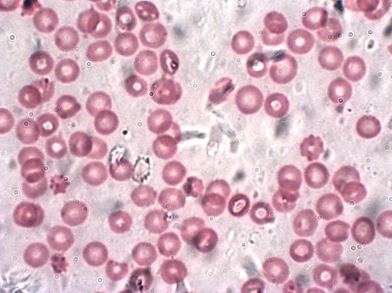
Сравнение
Именно в эритроцитах наиболее заметно отличие крови лягушки и человека. Так выглядят эти частицы у животного:
Эритроциты в крови лягушки
А здесь изображены человеческие эритроциты:

Сравним названные кровяные тельца по нескольким критериям:
- Форма. Клетки подобного рода у лягушки овальные. У человека они имеют компактную круглую форму.
- Ядро. Оно есть только в частицах крови животного. Отсутствие этого компонента в эритроцитах человека способствует освобождению дополнительного места для гемоглобина, переносящего кислород.
- Размер. В реальности у животного эти тельца сравнительно крупные. У человека эритроциты характеризуются маленькими размерами. В определенном пространстве мелкие частицы размещаются в большем количестве и плотней, тем самым увеличивается дыхательная емкость крови.
- Поверхность. Очертания у эритроцитов лягушки простые. Между тем у человека эти клетки имеют вогнутости. Благодаря данной особенности газ поглощается максимально эффективно.
Выяснив, в чем разница между кровью лягушки и человека, сделаем вывод. Так, наша кровь справляется с поглощением и транспортировкой кислорода гораздо лучше. А это, наряду с другими преимуществами (четырехкамерным сердцем, разделением содержимого артерий и вен и прочим), объясняет теплокровность млекопитающих, к которым с позиции биологии относится и человек.
Рассмотреть под
микроскопом постоянный микропрепарат
– кровь лягушки при малом и большом
увеличении микроскопа. В поле зрения
видны отдельные клетки правильной
овальной формы с гомогенной цитоплазмой
интенсивно розового цвета. В центре
клетки заметно сине-фиолетовое, вытянутое
в длину ядро. В поле зрения встречаются
более крупные шаровидные клетки –
лейкоциты со светлой цитоплазмой, с
шаровидными или лопастными ядрами.
Рассмотрите
готовый окрашенный препарат крови
лягушки при малом и большом увеличении.
Все поле зрения покрыто клетками.
Основную массу клеток составляют
эритроциты, имеющие овальную форму,
розовую окраску цитоплазмы и продолговатое
ядро сине-фиолетового цвета
Среди
эритроцитов иногда встречаются лейкоциты.
Они отличаются от эритроцитов округлой
формой и строением ядра, которое разделено
на сегменты (нейтрофилы) или имеет
круглую форму (лимфоциты).
Обратите
внимание, что в животных клетках в
отличие от растительных клеток клеточные
оболочки почти незаметны
Для зарисовки
выберите участок препарата, где клеточные
элементы расположены не так плотно.
Зарисуйте
несколько эритроцитов.
Сделайте
обозначения:
Эритроцит.
Оболочка.
Ядро.
Цитоплазма.
Уровень движения
Как известно, кровь человека состоит из различных клеток, в том числе и эритроцитов. Они играют важную роль в организме, отвечая за транспортировку кислорода к разным органам и тканям. Но как эритроциты человека отличаются от эритроцитов лягушки?
Одно из ключевых различий между эритроцитами человека и лягушки заключается в уровне их движения. В биологическом смысле, движение эритроцитов — это способность этих клеток передвигаться в крови. Это движение обусловлено наличием внутриклеточного белка — актина, который, при взаимодействии с альфа- и бета-тизинами, обеспечивает конденсацию и деконденсацию эритроцитов.
Различия в движении эритроцитов человека и лягушки Эритроциты человека Эритроциты лягушки
Уровень движения Низкий Высокий
Эритроциты человека обладают низким уровнем движения. Они медленно передвигаются внутри кровеносных сосудов и обеспечивают стабильную транспортную функцию — доставку кислорода к клеткам и органам. Это обусловлено особенностями структуры эритроцитов человека.
В отличие от эритроцитов человека, эритроциты лягушки обладают высоким уровнем движения. Их активное перемещение внутри крови обусловлено наличием дополнительных белковых структур — фагоцитов и псевдоподий. Такое быстрое движение эритроцитов лягушки помогает им эффективно выполнять свою функцию транспортировки.
Таким образом, различия в уровне движения эритроцитов человека и лягушки являются одной из основных отличительных черт этих кровяных клеток.
Эритроциты человека
Эритроциты являются одной из важнейших составляющих крови. В биологии они известны как красные кровяные клетки или эритроциты. У человека и лягушки эритроциты имеют свои различия.
Первое заметное различие заключается в размере эритроцитов. У человека они имеют диаметр примерно от 6 до 8 микрометров, в то время как у лягушки они значительно больше и могут достигать величины от 20 до 70 микрометров.
Еще одно отличие заключается в форме эритроцитов. У человека они имеют двояковыпуклую форму в виде диска, благодаря чему могут легко прокрашиваться и проникать через капилляры. В то же время, у лягушек эритроциты часто имеют более овальную или сферическую форму.
Кроме того, эритроциты человека и лягушки отличаются по структуре. У человека они не имеют ядра, от чего образует свою характерную биконкавную форму. У лягушек же эритроциты могут содержать ядра, а также иметь более разнообразные формы.
Сравнительные особенности эритроцитов человека и лягушки представлены в таблице:
| Параметры | Эритроциты человека | Эритроциты лягушки |
|---|---|---|
| Размер | 6-8 мкм | 20-70 мкм |
| Форма | Двояковыпуклая | Овальная или сферическая |
| Структура | Биконкавная без ядра | Могут содержать ядро, разнообразные формы |
Таким образом, эритроциты человека и лягушки имеют свои различия в размере, форме и структуре. Эти различия проистекают из особенностей адаптации каждого вида к своим физиологическим потребностям и условиям жизни.
Эритроциты лягушки
Эритроциты – это кровяные клетки, которые несут на себе главную функцию крови – переносить кислород и углекислый газ по всему организму. Как и у человека, у лягушек также существуют эритроциты, но они имеют свои особенности и отличаются от эритроцитов человека.
Вот как эритроциты лягушки отличаются от эритроцитов человека:
- Форма. Эритроциты человека имеют форму двоядерной биконкавной диска, а эритроциты лягушки обладают формой ядрышковых ячеек. Это связано с тем, что эритроциты лягушки содержат ядра.
- Размер. Размер эритроцитов лягушки значительно меньше, чем у человека. Лягушачьи эритроциты имеют диаметр около 12 микрометров, в то время как человеческие эритроциты имеют диаметр около 7-8 микрометров.
- Количество. В сравнении с человеком, у лягушек обычно наблюдается большее количество эритроцитов в крови. Это связано с их адаптацией к жизни в водной среде, где процесс дыхания более интенсивный.
Как видно из приведенных различий, эритроциты у человека и лягушки имеют существенные отличия в форме, размере и количестве. Это обусловлено их разными адаптациями к условиям жизни и особенностям среды, в которой они существуют.
Функции эритроцитов
Эритроциты играют ключевую роль в нашем организме благодаря своим уникальным функциям:
1. Транспорт кислорода: главная функция эритроцитов заключается в переносе кислорода из легких в ткани и органы. Специальный белок гемоглобин, находящийся внутри эритроцитов, связывает кислород и доставляет его туда, где он необходим.
2. Удаление углекислого газа: эритроциты также отвечают за удаление углекислого газа из организма. При процессе дыхания они собирают углекислый газ и переносят его обратно в легкие, чтобы он был выдохнут.
3
Поддержание кислотно-щелочного баланса: эритроциты помогают поддерживать оптимальный уровень pH в организме, что важно для нормальной работы органов и систем. Они регулируют концентрацию водородных и гидроксильных ионов в крови
4. Участие в иммунной системе: некоторые исследования показывают, что эритроциты могут выполнять иммунные функции, такие как защита организма от инфекций и различных вредоносных веществ. Они могут также участвовать в иммунном ответе, активируя определенные сигнальные пути.
Эритроциты человека и эритроциты лягушки имеют некоторые различия в своих функциях. В отличие от эритроцитов человека, эритроциты лягушки способны выполнять дополнительные функции, такие как защита от болезни и фагоцитоз.
Что такое малокровие
Одышка, ощутимая слабость, шум в ушах, заметная бледность кожных покровов и слизистых оболочек может свидетельствовать о недостаточном количестве гемоглобина крови. Норма его содержания колеблется в зависимости от пола. У женщин этот показатель составляет 120 – 140 г на 1000 мл крови, а у мужчин достигает 180 г/л. Содержание гемоглобина в крови новорожденных детей самое большое. Оно превышает эту цифру у взрослых людей, достигая 210 г/л.
Недостаток гемоглобина является серьезным заболеванием, которое называется малокровием или анемией. Оно может быть вызвано недостатком в продуктах питания витаминов и солей железа, пристрастием к употреблению алкоголя, влиянием на организм радиационного загрязнения и других негативных экологических факторов.
Снижение количества гемоглобина может быть обусловлено и естественными факторами. К примеру, у женщин причиной анемии могут быть менструальный цикл или беременность. Впоследствии количество гемоглобина нормализируется. Временное снижение данного показателя наблюдается и у активных доноров, которые часто сдают кровь. Но повышенное количество эритроцитов также достаточно опасно и нежелательно для организма. Оно приводит к увеличению густоты крови и образованию тромбов. Часто повышение этого показателя наблюдается у людей, проживающих в высокогорных районах.
Нормализовать уровень гемоглобина возможно употребляя продукты питания, содержащие железо. К ним относятся печень, язык, мясо крупного рогатого скота, кролика, рыба, черная и красная икра. Продукты растительного происхождения также содержат необходимый микроэлемент, однако находящееся в них железо усваивается гораздо сложнее. К ним относятся плоды бобовых, гречневая крупа, яблоки, патока, красный перец и зелень.
Особенности и функции эритроцитов
Эритроциты, или красные кровяные клетки представляют собой структуры, содержащие дыхательные ферменты. Их форма и внутреннее содержимое у разных животных может варьировать. Однако, есть ряд и общих черт. В среднем эритроциты живут до 4 месяцев, после чего разрушаются в селезенке и печени. Местом их формирования является красный костный мозг. Образуются эритроциты из универсальных стволовых клеток. Причем у новорожденных кроветворную ткань имеют все типы костей, а у взрослых – только в плоских.
В организме животных данные клетки выполняют целый ряд важных функций. Основной из них является дыхательная. Ее осуществление возможно благодаря наличию в цитоплазме эритроцитов особых пигментов. Эти вещества еще и определяют цвет крови животных. К примеру, у моллюсков она может быть сиреневой, а у многощетинковых червей – зеленой. Эритроциты крови лягушки обеспечивают ее розовый цвет, а у человека он ярко – красный. Соединяясь в легких с кислородом, они несут его к каждой клетке организма, где отдают его и присоединяют углекислый газ. Последний поступает в обратном направлении и выдыхается.
Эритроциты также транспортируют аминокислоты, осуществляя питательную функцию. Эти клетки – носители различных ферментов, которые способны влиять на скорость протекания химических реакций. На поверхности эритроцитов расположены антитела. Благодаря этим веществам белковой природы красные клетки крови связывают и обезвреживают токсины, защищая организм от их болезнетворного влияния.

Строение гемоглобина
Строение и функции эритроцитов во многом обусловлены особенностями именно этого вещества. В гемоглобин входят две составляющие. Это железосодержащий компонент, который называется гем, и белок глобин. Впервые расшифровать пространственную структуру этого химического соединения удалось английскому биохимику Максу Фердинанду Перуцу. За это открытие в 1962 году он был удостоен Нобелевской премии. Гемоглобин является представителем группы хромопротеинов. К ним относятся сложные белки, состоящие из простого биополимера и простетической группы. Для гемоглобина этой группой является гем. К данной группе относится и хлорофилл растений, который обеспечивает протекание процесса фотосинтеза.

Как происходит газообмен
У человека и других хордовых животных гемоглобин находится внутри эритроцитов, а у беспозвоночных растворен прямо в плазме крови. В любом случае химический состав этого сложного белка позволяет образовывать нестойкие соединения с кислородом и углекислым газом. Кровь, насыщенная кислородом, называется артериальной. Она обогащается данным газом в легких.
Из аорты она направляется в артерии, а потом – в капилляры. Эти самые мелкие сосуды подходят к каждой клетке организма. Здесь эритроциты отдают кислород и присоединяют основной продукт дыхания – углекислый газ. С током крови, которая уже является венозной, они поступают снова в легкие. В этих органах газообмен происходит в мельчайших пузырьках – альвеолах. Здесь гемоглобин отсоединяет углекислый газ, который удаляется из организма посредством выдоха, и кровь снова насыщается кислородом.
Такие химические реакции обусловлены наличием двухвалентного железа в геме. В результате соединения и разложения последовательно формируется окси- и карбгемоглобин. Но сложный белок эритроцитов может образовывать и стойкие соединения. К примеру, при неполном сгорании топлива выделяется угарный газ, который формирует с гемоглобином карбоксигемоглобин. Этот процесс ведет к гибели эритроцитов и отравлению организма, которое может привести к летальному исходу.

Что такое клетки крови человека
Клетки крови человека – это циркулирующие клетки в крови человека. Человеческая кровь состоит из клеток крови и плазмы. У взрослого человека около 5 литров крови, а клетки крови занимают около 2 литров от общего объема крови. Остальной объем занимает плазма. Клетки крови растворены в плазме. Три основных типа клеток крови человека – это эритроциты (эритроциты), белые кровяные клетки (лейкоциты) и тромбоциты (тромбоциты). Наиболее распространенным типом клеток крови являются эритроциты. На их долю приходится от 490 до 45% всех клеток крови. Характерный красный цвет крови придает гемоглобин в красных кровяных тельцах. Гемоглобин – это белок, который связывается с кислородом, чтобы транспортировать его по всему телу. Обычно красные кровяные тельца представляют собой круглые и плоские клетки. Они имеют характерную двояковогнутую форму. Форма красных кровяных телец может в значительной степени изменяться, чтобы они могли транспортироваться по кровеносным сосудам. Красные кровяные тельца человека показаны на рисунке 1.

Рисунок 1: Красные кровяные тельца человека при увеличении в 1000 раз.
Примечательно, что красные кровяные тельца человека и других млекопитающих лишены ядра и органелл. Это увеличивает пространство внутри красных кровяных телец для переноса большего количества молекул гемоглобина внутри клетки, увеличивая способность переносить кислород. С другой стороны, красные кровяные тельца человека не могут делиться из-за отсутствия ядра. Следовательно, эти элементы следует заменять на постоянной основе. В эритроцитах человека также отсутствуют митохондрии. Это может увеличить пропускную способность кислорода. Помимо этого, аэробное дыхание, которое осуществляется митохондриями, потребляет кислород, который переносится эритроцитами. Таким образом, отсутствие митохондрий в красных кровяных тельцах экономит кислород, который должен транспортироваться к клеткам тела. Пять типов лейкоцитов у человека показаны на рисунке 2.

Рисунок 2: Белые кровяные тельца
Лейкоциты служат частью иммунной системы животных. Двумя основными типами лейкоцитов являются гранулоциты и агранулоциты. Гранулоциты содержат ферменты в гранулах, которые переваривают инородные материалы, циркулирующие в кровотоке, путем фагоцитоза, попадая в клетки. Три типа гранулоцитов – это нейтрофилы, эозинофилы и базофилы. Моноциты и лимфоциты – это агранулоциты, в которых отсутствуют пищеварительные ферменты. Моноциты попадают в инфицированные ткани и становятся макрофагами. Двумя типами лимфоцитов являются Т-лимфоциты и В-лимфоциты. Все белые кровяные тельца вызывают неспецифический иммунный ответ при врожденном иммунитете, за исключением лимфоцитов. Лимфоциты вызывают специфические иммунные ответы адаптивного иммунитета.

Рисунок 3: Тромбоциты
Тромбоциты участвуют в свертывании крови, образуя тромбоцитарную пробку. Это предотвращает как внутреннее, так и внешнее кровотечение. Тромбоциты показаны на рисунке 3.
Функции
Эритроциты — это кровяные клетки, ответственные за транспортировку кислорода и углекислого газа в организме. Они выполняют основную функцию в крови, обеспечивая необходимый газообмен.
У человека и лягушки эритроциты отличаются некоторыми биологическими особенностями и выполняют разные функции.
Как отличаются эритроциты человека:
- Человеческие эритроциты обладают более круглой формой, в то время как эритроциты лягушки имеют более овальную форму.
- У человека эритроциты содержат гемоглобин, который связывает кислород и углекислый газ в крови. В отличие от этого, эритроциты лягушки не содержат гемоглобина.
- У человека эритроциты обладают более долгим сроком жизни (около 120 дней) по сравнению с эритроцитами лягушки (около 40 дней).
Функции эритроцитов человека:
- Транспортировка кислорода из легких в органы и ткани.
- Выведение углекислого газа из органов и тканей обратно в легкие.
- Участие в поддержании кислотно-щелочного баланса организма.
- Участие в иммунной реакции и образовании антител.
- Участие в образовании буферных систем крови для поддержания постоянства pH.
Таким образом, эритроциты человека и лягушки отличаются не только по своей форме, но и по наличию гемоглобина и сроку жизни, что определяет их разные функции в организме.
Эритроциты человека
Эритроциты — это красные кровяные клетки, выполняющие важную функцию в организме человека. Эти клетки содержат в себе особый вид белка — гемоглобин, который обеспечивает транспорт кислорода из легких во все ткани организма.
Как и у других млекопитающих, эритроциты человека не имеют ядра и внутренних органелл. Они обладают формой биконкавного диска, что обеспечивает им большую поверхность для поглощения и отдачи кислорода. Это позволяет эритроцитам более эффективно выполнять свою функцию.
Сравнение эритроцитов человека с эритроцитами лягушки позволяет выявить несколько отличий между ними:
- Размер: у эритроцитов человека размер составляет около 7-8 мкм, тогда как у эритроцитов лягушки он может быть значительно больше.
- Форма: эритроциты человека имеют форму биконкавного диска, тогда как эритроциты лягушки могут иметь другую форму, например, овальную или спиральную.
- Структура: у эритроцитов человека отсутствует ядро и многие другие органеллы, в то время как у эритроцитов лягушки они могут присутствовать.
- Состав гемоглобина: состав гемоглобина человека и лягушки также может отличаться, что влияет на их функциональные свойства и способность переносить кислород.
В целом, эритроциты человека и эритроциты лягушки имеют сходные функции — перенос кислорода по организму. Однако их структура и свойства могут быть различными, что связано с адаптацией к особенностям жизнедеятельности каждого вида.
Эритроциты лягушки
Эритроциты – это кровяные клетки, отвечающие за перенос кислорода по всему организму. Они имеют особую форму и состоят из гемоглобина, белка, способного связывать и переносить кислород.
Лягушки – это амфибии, которые, как и человек, имеют кровь со своими эритроцитами. Однако эритроциты лягушек отличаются от эритроцитов человека в нескольких аспектах.
Вот несколько примеров различий между эритроцитами человека и эритроцитами лягушки:
- Размер и форма: эритроциты лягушки обычно крупнее, чем эритроциты человека, и имеют необычную форму – они выглядят как овальные или яйцевидные диски.
- Структура: эритроциты лягушек содержат ядра, в то время как у эритроцитов человека ядер нет. Наличие ядра в эритроцитах лягушек делает их способными выполнять функции, которые эритроциты человека не могут выполнять.
- Количество: кровь лягушек содержит меньше эритроцитов по сравнению с кровью человека.
Это лишь некоторые примеры различий между эритроцитами человека и эритроцитами лягушки. Биология изучает эти различия, чтобы лучше понять уникальные особенности разных видов и их адаптацию к среде.
Теплокровные животные
У температура тела постоянная. К ним относятся птицы и млекопитающие животные, в том числе и человек. В их организме не происходит смешивания венозной и артериальной крови. Это является результатом наличия полной перегородки между камерами их сердца. В итоге ко всем тканям и органам, кроме легких, поступает чистая артериальная кровь, насыщенная кислородом. Наряду с более совершенной терморегуляцией это способствует повышение интенсивности газообмена.
Итак, в нашей статье мы рассмотрели, какие особенности имеют эритроциты человека и лягушки. Их основные отличия касаются размеров, наличия ядра и уровня концентрации в крови. Эритроциты лягушки являются эукариотическими клетками, имеют более крупные размеры, а концентрация их невелика. Вследствие такого строения они содержат меньшее количество дыхательного пигмента, поэтому легочный газообмен у земноводных происходит менее эффективно. Это компенсируется с помощью дополнительной системы кожного дыхания.Особенности строения эритроцитов, кровеносной системы и механизмов терморегуляции обусловливает холоднокровность земноводных животных.
Черты строения этих клеток у человека более прогрессивны. Двояковогнутая форма, маленький размер и отсутствие ядра значительно повышают количество переносимого кислорода и интенсивность газообмена. Эритроциты человека более эффективно осуществляют дыхательную функцию, быстро насыщая все клетки организма кислородом и освобождая от углекислого газа.
Рассмотреть под
микроскопом постоянный микропрепарат
– кровь лягушки при малом и большом
увеличении микроскопа. В поле зрения
видны отдельные клетки правильной
овальной формы с гомогенной цитоплазмой
интенсивно розового цвета. В центре
клетки заметно сине-фиолетовое, вытянутое
в длину ядро. В поле зрения встречаются
более крупные шаровидные клетки –
лейкоциты со светлой цитоплазмой, с
шаровидными или лопастными ядрами.
Рассмотрите
готовый окрашенный препарат крови
лягушки при малом и большом увеличении.
Все поле зрения покрыто клетками.
Основную массу клеток составляют
эритроциты, имеющие овальную форму,
розовую окраску цитоплазмы и продолговатое
ядро сине-фиолетового цвета
Среди
эритроцитов иногда встречаются лейкоциты.
Они отличаются от эритроцитов округлой
формой и строением ядра, которое разделено
на сегменты (нейтрофилы) или имеет
круглую форму (лимфоциты).
Обратите
внимание, что в животных клетках в
отличие от растительных клеток клеточные
оболочки почти незаметны
Для зарисовки
выберите участок препарата, где клеточные
элементы расположены не так плотно.
Зарисуйте
несколько эритроцитов.
Сделайте
обозначения:
Эритроцит.
Оболочка.
Ядро.
Цитоплазма.
Особенности переливания крови
В жизни человека часто возникают ситуации, при которых требуется переливание крови. Долгое время такие операции приводили к смерти больных, а настоящие причины этого оставались загадкой. Только в начале 20 века было установлено, что виной всему – эритроцит. Строение этих клеток обусловливает группы крови человека. Всего их четыре, а различают их по системе АВ0.
Каждая из них отличается особым типом белковых веществ, содержащихся в эритроцитах. Называются они агглютиногены. У людей с первой группой крови они отсутствуют. Со второй – имеют агглютиногены А, с третьей – В, с четвертой – АВ. Одновременно в плазме крови содержатся белки агглютинины: альфа, бетта или одновременно оба. Сочетание этих веществ определяет совместимость групп крови. Это значит, что невозможно одновременное присутствие в крови аггглютиногена А и агглютинина альфа. В этом случае эритроциты склеиваются, что может привести к гибели организма.

Вопросы для самоподготовки к освоению данной темы:
Строение
эукариотической клетки.
История развития
представлений о строении клеточной
мембраны.
Молекулярная
организация цитоплазматической мембраны
(модели Даниели и Даусона, Ленарда
(мозаичная).
Современная
жидкостно-мозаичная модель строения
клеточной мембраны Ленарда-Зингера-Николсона.
Химический состав
клеточной мембраны.
Функции мембраны.
Пассивный транспорт
веществ через мембрану: осмос, простая
диффузия, облегченная диффузия.
Активный транспорт.
Принцип работы натрий-калиевого насоса.
Эндоцитоз. Этапы
фагоцитоза. Пиноцитоз.
Экзоцитоз.
4.
Вид занятия:
лабораторно – практическое.
5.
Продолжительность занятия
– 3 часа (135 минут).
Строение эритроцитов лягушки
Ученые давно установили, что красные кровяные клетки человека обладают чертами строения, которые обеспечивают наиболее эффективный газообмен. Это касается и формы, и количества, и внутреннего содержимого. Это особенно очевидно, когда сравнивают строение эритроцитов крови человека и лягушки. У последних красные кровяные клетки имеют овальную форму и содержат ядро. Это значительно уменьшает содержание дыхательных пигментов. Эритроциты лягушки значительно крупнее человеческих, поэтому и концентрация их не так высока. Для сравнения: если у человека в кубическом мм их более 5 млн., то у земноводных эта цифра достигает 0,38.
Холоднокровные животные
Форма эритроцита лягушки, как и его внутреннее строение, позволяет переносить только ограниченное количество кислорода. Это связано с тем, что земноводные не нуждаются в таком количестве этого газа, как млекопитающие. Объяснить это очень легко. У земноводных дыхание осуществляется не только через легкие, но и через кожу.
Данная группа животных является холоднокровными. Это значит, что температура их тела зависит от изменения этого показателя в окружающей среде. Этот признак напрямую зависит от строения их кровеносной системы. Так, между камерами сердца земноводных отсутствует перегородка. Поэтому в их правом предсердии венозная и артериальная кровь смешивается и в таком виде поступает к тканям и органам. Наряду с особенностями строения эритроцитов, это делает их систему газообмена не столь совершенной, как у теплокровных животных.
Разнообразие клеток крови
Кровь образована жидким межклеточным веществом, которое называется плазма, и форменными элементами. К ним относятся лейкоциты, эритроциты и тромбоциты. Первые являются бесцветными клетками, которые не имеют постоянной формы и самостоятельно передвигаются в кровяном русле. Они способны распознавать и переваривать чужеродные для организма частицы путем фагоцитоза, поэтому формируют иммунитет. Это способность организма противостоять различным заболеваниям. Лейкоциты очень разнообразны, обладают иммунологической памятью и защищают живые организмы с момента их появления на свет.
Тромбоциты также выполняют защитную функцию. Они обеспечивают свертывание крови. В основе этого процесса лежит ферментативная реакция превращения белков с образованием их нерастворимой формы. В результате формируется кровяной сгусток, который и называется тромб.































