Патогенез
Заражение вирусами происходит воздушно-капельным путем. При тесном контакте с заболевшим (разговор, чиханье, кашель), даже при его дыхании вирусы распространяются мгновенно. Доказано, члены семьи, если их иммунитет не справится с биологическими микроорганизмами вовремя, заражаются в 78% случаев. Вирусные частицы передаются от человека к человеку и бытовым способом: при использовании посуды, носовых платков заболевшего.
Вирусы, попадая в органы дыхания и кровь, начинают патологическое размножение в клетках эпителия бронхов и альвеол, разрушая их. В тканях по всей паренхиме или только в отдельных очагах начинается токсический процесс.

Патогенные микроорганизмы просачиваются, пропитываются в ткани, вызывают неправильное развитие их развитие (пролиферация). В очагах воспаления накапливается вещество, богатое белком и другими микроэлементами – экссудат. Он то и увеличивает объемы легких, мешает нормальной их функции.
В тяжелых ситуациях без грамотного лечения или полного его отсутствия в экссудат добавляются клетки крови. Специалисты диагностируют в этом случае геморрагический экссудат. Проблема состоит в том, что сосуды органов дыхания теряют эластичность, увеличивается их проницаемость. В результате – в альвеолы, бронхи и легкие происходят мелкие и объемные кровоизлияния. Развивается отек легких, пациент чувствует нехватку дыхания.
Как протекает новая коронавирусная пневмония
ВОЗ сообщает, что коронавирусная пневмония протекает в подавляющем числе случаев в легкой форме. Наиболее страдающая от болезни группа населения – взрослые от 40 лет. В случае развития тяжелой и критической формы COVID-19 может возникать острая дыхательная недостаточность. Она приводит к ОРДС – острому респираторному дистресс-синдрому. Он проявляется в виде нарушения доставки кислорода к другим органам. Результат – массивное нарушение работы сердца, почек и головного мозга, что может стать причиной осложнений и гибели человека.

Причины
Коронавирусная пневмония развивается на фоне поражения нижних отделов дыхательных путей вирусом nCoV-2019 как результат его повышенной тропности к клеткам альвеол. На фоне пониженного иммунитета и прочих хронических заболеваний болезнь почти моментально прогрессирует, приводя к нарушению дыхания и снабжения кислородом других органов.
Что происходит с легкими
Легкие – орган, который преимущественно страдает при коронавирусной инфекции. Патогенез COVID-19 заключается в формировании воспалительной реакции, которая приводит к фиброзу легких. Фиброз – процесс замещения нормальной, рабочей ткани органа соединительной. Он существенно снижает способность легких к газообмену.
Согласно исследованиям британских докторов, воспаление имеет аутоиммунную этиологию. Это означает, что вирус при тяжелом течении заболевания существенно нарушает работу иммунной системы. Атипичная ответная реакция иммунитета вызывает экссудативное воспаление (то есть с выделением жидкости). Альвеолы не могут нормально выполнять свою функцию и повреждаются.

Характерные симптомы
Первые признаки коронавируса проявляются у человека в течение 14 дней после заражения в виде повышенной температуры и сухого кашля без насморка. Насморк – не характерный для коронавируса клинический симптом, встречается в 10% выявленных случаев. Картина заболевания развивается медленно и не имеет особой выраженности. Почти в четверти всех случаев и вовсе имеет стертое течение на протяжении всей болезни. При наличии симптоматики больные мучаются от недомогания и слабости, жалуются на быструю утомляемость.
Осложнения и последствия
Коронавирусная пневмония опасна быстрым переходом от бессимптомной формы или слабовыраженной симптоматики к тяжелой критической ситуации, которая требует срочного врачебного вмешательства. Особенно тяжело протекает заболевание у пожилых людей и лиц, которые имеют хронические патологии, такие как ХОБЛ, бронхиальная астма, сахарный диабет, болезни сердечно-сосудистой системы.
Последствия коронавирусной пневмонии — фиброз легких и сердечная недостаточность. Тяжелая форма заболевания может приводить к летальному исходу.

Симптомы атипичной пневмонии и COVID-19
Что означает термин «атипичная пневмония»? Его используют, когда хотят подчеркнуть, что воспаление легких вызвано такими микроорганизмами или причинами, которые дают сложную и непредсказуемую клиническую картину. В этом случае наблюдается атипичное течение заболевания, возможны рецидивы и осложнения, которые потребуют длительной реабилитации.
К атипичной пневмонии относится воспаление легких, вызванное микоплазмой, хламидией. В этом случае, как и при COVID-19, у взрослых наблюдаются симптомы:
Также как и в случае с обычной пневмонией, у некоторых наблюдается и бессимптомное течение заболевание. При коронавирусе у больного может быть насморк с потерей обоняния, при этом не бывает чихания (в отличие от простуды и гриппа).
Достоверно выявить или исключить пневмонию можно только с помощью компьютерной томографии легких. На томограмме легких видны очаги поражения дыхательных путей («матовые стекла»). Лабораторные анализы помогут выявить специфических возбудителей воспаления легких по ответной реакции иммунной системы.
Осложнения
Заболевание само по себе тяжелое, еще тяжелее для пациента – перенести осложнения. К ним относят:
- высокую температуру, не поддающуюся медикаментам;
- дыхательную недостаточность;
- вторичный коллапс (повышенное скопление газов в плевре);
- отек легких.
На фоне патологии развивается (преимущественно гриппозный) энцефалит и менингит. Появляется отит, в связи с близким расположением органов слуха. Пиелонефрит встречается реже, но проблему исключать нельзя, поэтому при лечении регулярно следят за состоянием почек.
При плохо выбранной программе лечения сильно страдают все жизненно важные системы организма из-за нарушенного дыхания. Нередко даже у выздоровевших пациентов наблюдается кислородное голодание мозга, сердца и сосудов. Ткани этих органов отмирают, замещаясь соединительной, что приводит к частичной их дисфункции.
В 68% случаев начинается абсцесс легкого, что в свою очередь ведет к летальному исходу. По статистическим данным, смерть пациентов наступает в течение первой недели.
Как болеют коронавирусом в легкой форме
В легкой форме коронавирусом COVID 19 болеют около 10 дней (от одной до двух недель), обычно общее состояние не очень отличается от нетяжелого течения гриппа. При типичном развитии болезни жалобы появляются в такой последовательности:
- С 1 по 3 день – лихорадка, мышечная и головная боль, болезненность в горле, периодический кашель, слабость;
- 4-5 день – затрудненное дыхание, нарастание кашля, температура близка к норме;
- 6-7 (или 10 день) – состояние улучшается, кашель ослабевает, повышается активность.
Зараженным необходимо соблюдать постельный режим, придерживаться здорового питания с достаточным количеством белков (курица, рыба, творог, кефир), отварных и свежих овощей, ягод и фруктов. Рекомендуется обильное питье (не менее 2 литров) теплого травяного чая с лимоном и имбирем, ягодных морсов. В них можно добавлять мед, малиновое варенье.
Чем лечить

Лечить легкую форму коронавирусной инфекции можно без препаратов, большинству пациентов достаточно обильного питья. При повышении температуры выше 38,5 градусов принимают Парацетамол. Его можно пить и при более низких показателях при плохой переносимости лихорадки, головной боли, неприятных ощущениях в области сердца, нарушении ритма, высоком давлении. Врачом также могут быть рекомендованы:
- капли или спрей с интерфероном (Гриппферон, Генферон);
- полоскания горла с Хлоргексидином, Мирамистином;
- Амброксол при кашле;
- щелочные ингаляции (столовая ложка соды на 500 мл горячей воды, дышать 10 минут при нормальной температуре) или через небулайзер (Сода-буфер, минеральная вода);
- капли в нос с сосудосуживающим компонентом (например, Галазолин);
- промывание носовых ходов солевым раствором (столовая ложка морской соли на 1 л кипяченой воды).
Осложнения

Если при легкой форме коронавируса возникает осложнение – вирусная пневмония, то пациентам необходима госпитализация в стационар. О ее развитии могут сигнализировать:
- устойчивая к жаропонижающим лихорадка (больше 3 дней);
- усиление кашля с затяжными приступами;
- одышка, когда тяжело становится дышать даже при ходьбе по квартире;
- нарастание общей слабости.
Если вовремя не начать лечение воспаления легких, то достаточно быстро нарастает дыхательная, а потом и сердечная недостаточность. В крайне тяжелых случаях ухудшается работа всех внутренних органов (особенно почек и печени), наступает смерть.
Опасен ли при астме
Коронавирус COVID 19 опасен при всех хронических заболеваниях, в том числе при бронхиальной астме. Отмечается ухудшение ее течения – приступы наступают чаще и становится более тяжелыми, требуется чаще пользоваться аэрозольными препаратами для расширения бронхов.
Астматики часто не обращаются к врачу своевременно, так как кашель и одышка при коронавирусной инфекции могут быть отнесены к обострению астмы
Важно помнить, что даже для ее тяжелого течения не характерна повышенная температура тела, ухудшение обоняния, понос, затрудненное носовое дыхание. Поэтому при появлении любых необычных симптомов необходимо обращаться к пульмонологу
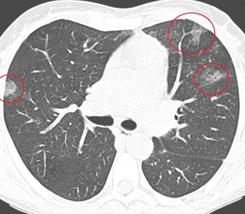
Разница на КТ-снимках
При сравнении снимков компьютерной томографии между коронавирусной и обычной пневмонией также отмечаются различия, причем довольно существенные. При COVID-19 обычно пневмония двусторонняя, и местом ее локализации является периферия легких, то есть непосредственно располагается под плеврой.
На начальных этапах заболевания она выглядит, по словам рентгенологов, как «матовое стекло». При дальнейшем прогрессировании пораженная область приобретает плотность и распространяется на большую площадь. После этого наступает стадия обратного развития – снижение плотности легочных инфильтратов и уменьшение их размеров.
Как вирус влияет на организм?
Интервью с профессором Джоном Уилсоном, который является избранным президентом Королевского австралийского колледжа врачей и врачом-респиратором, обнадеживает, но в то же время дает понять, как хрупка человеческая жизнь перед микроскопической частичкой вируса.
Джон Уилсон отметил, что серьезные последствия для организма наступают лишь тогда, когда вирус вплотную подбирается к легким и начинается воспаление. Именно пневмония представляет собой наибольшую опасность для организма.
Джон Уилсон сказал, что всех заразившихся людей условно можно разделить на 4 категории:
- «Субклинические» случаи. Характеризуются практически полным отсутствием симптомов болезни. Выявляют их, когда проводят тест на коронавирус среди людей, контактирующих с зараженными пациентами. Это самые безопасные случаи, которые не требуют специального лечения. Тем не менее, такие пациенты тоже являются носителями вируса и могут передавать его.
- Вторая группа пациентов имеет симптомы обычного респираторного заболевания: повышенная температура тела, насморк, головная боль, проблемы с дыханием, незначительный кашель. По сути, типичные признаки инфекции верхних дыхательных путей.
- Третья группа – самая обширная. Это пациенты, у которых наблюдаются признаки тяжелого гриппа: высокая температура, которая не сбивается в течение нескольких дней, кашель, затрудненное дыхание, лихорадка, озноб и ломота в теле. Это основная категория пациентов в клиниках. В отличие от первых двух групп, эти люди уже не могут ходить на работу и справляться с бытовыми обязанностями.
- Последняя группа – пациенты в особо тяжелом состоянии. Как правило, они нуждаются в искусственной вентиляции легких, и врачи наблюдают у них типичные признаки тяжелой пневмонии. В этом случае COVID-19 чаще всего наносит непоправимый ущерб здоровью и нередко заканчивается летальным исходом.

Джон Уилсон отметил, что проанализировав заболевших пациентов из Уханя, можно сделать вывод, что лишь 6% случаев можно отнести к последней, особо тяжелой группе.
В свою очередь, Всемирная Организация Здравоохранения сообщает, что в зоне риска находятся пожилые люди, имеющие хронические заболевания, проблемы с сердцем или легкими. Также это касается больных сахарным диабетом и тех, кто имеет большой стаж курения.

Симптомы пневмонии при коронавирусе
Специфические признаки отсутствуют. Человек не способен самостоятельно обнаружить у себя воспаление легких. Есть только критерии, свидетельствующие о необходимости срочного обращения к врачу. Это сильная длительная лихорадка с температурой выше 39 градусов (больше двух дней), головокружение, слабость, одышка и ощущение нехватки воздуха. Особенно опасным признаком считается посинение кожного покрова в лицевой зоне и других областях, указывающее на низкий уровень кислородного насыщения крови. Специалисты в области здравоохранения рекомендуют вызывать врача даже при умеренной лихорадке для оценки тяжести состояния. При приступе удушья нужно вызывать скорую помощь.

Эффект матового стекла
Общие черты для простой пневмонии и Covid-19

Опасные болезни имеют также немало общего. Опасность коронавируса и простого воспаления, поражающего легкие – в серьезном поражении тканей дыхательных органов. Ослабленный хроническими заболеваниями или изношенный с возрастом организм может не перенести осложнений, что приведет к летальному исходу. Медицинская статистика гласит, что обычная пневмония не менее опасна для здоровья и часто завершается отказом работы дыхательной системы – летальность заболевания в пределах 3-5%.
К общим чертам заболеваний медики также причисляют сильный кашель – легкие не получают необходимое количество кислорода и теряют возможность полноценно функционировать. Воспалительные процессы, которые интенсивно распространяются по здоровым тканям, поражают клетки, снижая работоспособность дыхательных органов. Важные системы организма также страдают – нехватка кислорода приводит к кислородному голоданию.
В лечении коронавируса и воспаления легких, вызванного бактериями, также многое зависит от работы иммунной системы. Если защитные силы человека активно работают, на выздоровление уйдет немного времени – организм самостоятельно справится с возбудителем.
Исследование и лечение пневмонита
Как было уже сказано выше, человек с коронавирусной инфекцией может перенести ее в легкой форме, что не скажется негативно на его здоровье. Но если есть подозрение на воспаление легких, точнее пневмонит – пациента госпитализируют с дальнейшей более детальной диагностикой для патогенетического лечения.
Лучшие материалы месяца
- Коронавирусы: SARS-CoV-2 (COVID-19)
- Антибиотики для профилактики и лечения COVID-19: на сколько эффективны
- Самые распространенные «офисные» болезни
- Убивает ли водка коронавирус
- Как остаться живым на наших дорогах?
В первую очередь назначается компьютерная томография легких, как наиболее информативное исследование. Такой вид диагностики дает более полную картину изменений в легких, что необходимо для назначения подходящей терапии. В то же время в стационаре пациент находится под пристальным наблюдением медицинского персонала, контролируются жизненные показатели, изменения в организме, такие как температура, частота дыхания и насыщение крови кислородом. Общий анализ крови недостаточен для контроля всех изменений в организме, проводятся дополнительные биохимические и другие исследования, в частности контроль коагулограммы. При этом необходим постоянный динамический контроль всех показателей для последующей индивидуальной медикаментозной корректировки. Слаженная работа медиков играет большую роль в борьбе с недугом.
Этиология пневмонии
Такие респираторные инфекции по-разному ведут себя в организме человека: одни поражают альвеолы и интерстиций, другие — бронхиолы, в одних случаях вирусы провоцируют воспаление легких «молниеносно», в течение нескольких суток, в других — постепенно, «спускаются» по носоглотке, трахее и бронхам, вызывая пневмонию только через месяц. Наконец, инфекции предпочитают разные сегменты легких для локализации, а иногда распространяются хаотично и диффузно.
Таким образом, для каждой вирусной пневмонии, в зависимости от типа возбудителя, характерен типический паттерн. Иногда уже по одному «рисунку» пневмонии на КТ-сканах возможно отличить, например, аденовирусную пневмонию от респираторно-синцитиального вируса. Для уточнения типа инфекционного возбудителя пациенту назначается лабораторное исследование (анализ отделяемого из носоглотки, ПЦР, тест на иммуноглобулины и др.).
Вирусной пневмонии, как правило, сопутствует резкое ухудшение самочувствие, высокая температура, симптоматика острого респираторного заболевания (кашель, затрудненное дыхание), интоксикация организма. Однако известны случаи, когда внебольничная пневмония на ранней стадии развивалась без ярко выраженных симптомов, которые сложно отличить от ОРВИ.
Механизм развития вирусной пневмонии следующий — вирус проникает в альвеолоциты (клетки легких), закрепляется в них и начинает размножаться. В результате клетки погибают. В ответ на заражение крови вирусом, лейкоциты и лимфоциты — защитные клетки организма — выделяют цитокины. Однако это приводит к скоплению жидкого экссудата в альвеолах, вследствие чего легочная ткань отекает, а человеку становится трудно дышать, поскольку количество функциональных альвеол — маленьких ячеек, в которых хранится кислород — сокращается.
Атипичная пневмония — это воспаление легких вызванное ранее неизвестным и неопределимым возбудителем, при этом клинические проявления заболевания необычны и не поддаются известной медицинской классификации.
Вирусным пневмониям особенно подвержены маленькие дети и пациенты с иммунодефицитом, поскольку у организма таких пациентов не достаточно защитных ресурсов (антител). Более 90% всех пневмоний у детей — это вирусное поражение легких.

Правда ли, что коронавирус мутировал в более легкую форму
Коронавирус SARS-CoV-2 постоянно мутирует, но пока известно о его переходе из легкой в более опасную форму. Первоначальный штамм стал выделяться гораздо реже, чем в первые месяцы вспышки в Китае. Также уже обнаружено много новых разновидностей, часть из них имеют большую заразность, а некоторые ее уменьшили.
Так как во всех странах пациентов с тяжелыми формами болезни пытаются тщательно изолировать от остальных людей, то есть шансы на то, что постепенно максимально будут распространяться штаммы легких форм. Таким образом может сформироваться коллективный иммунитет, способный остановить пандемию.
Коронавирус COVID 19 у подавляющего большинства пациентов протекает в легкой форме, которая похожа на грипп, простудные заболевания, но отличается меньшей выраженностью насморка, преобладанием отечности и сухости слизистых. Лечение в основном симптоматическое и проводится чаще дома, но при отсутствии улучшения состояния нужно обратиться к врачу, так как есть риск развития пневмонии.
Симптомы вирусной пневмонии
В зависимости от типа возбудителя (вида пневмонии), заболевание развивается по-разному. Например, у аденовируса острое начало — высокая температура, конъюнктивит, сильная боль в горле и продолжительный ринит, при котором дышать носом невозможно.
Пневмония, ассоциированная с коронавирусом, развивается постепенно — сначала пациента беспокоит лишь невысокая температура (37-38 градусов) и слабость. Однако температура держится долго, а на 5-6 сутки может появиться явная одышка, боль в груди, сухой кашель, указывающие на поражение легких.
Тяжело протекает воспаление легких, которое возникает на фоне обычного гриппа. Болезнь начинается с высокой температуры (до 40 градусов), озноба, затуманенности сознания, болей во всем теле. Пациента беспокоят респираторные симптомы (кашель и насморк), выраженные однако не очень интенсивно. Иногда вирус поражает слизистую оболочку глаз (коньюктивит). Больному эпизодически становится лучше, однако за короткий срок самочувствие может резко ухудшиться. О критическом состоянии пациента свидетельствует посинение кожи, усиление кашля и одышки, боли и снижение артериального давления.
К наиболее распространенным, общим признакам вирусной пневмонии относятся:
- Высокая температура;
- Симптомы острого респираторного заболевания: кашель, нехватка воздуха, одышка;
- Слабость, ломота в костях, мышечные и головные боли;
- Боль или дискомфорт в грудной клетке;
- Нарушение работы других органов и систем: расстройство ЖКТ, коньюктивит, скачки давления.
При подозрении на вирусное поражение легких измеряют сатурацию крови кислородом с помощью пульсоксиметра. Если показатель ниже 95%, пациенту необходима медицинская помощь. В норме процент насыщенности крови кислородом = 100 или близок к этой цифре.
Лечение патологии
Данный вид патологии носит смертельный характер, ни в коем случае нельзя заниматься самолечением и советами из интернета. Нужно вовремя обратиться к грамотному специалисту. Чем раньше пациент обратиться за медицинской помощью, тем легче ее вылечить и уменьшить риск тяжелых последствий и осложнений.
Терапию проводит команда узкопрофильных специалистов: пульмонолога, ЛОРа, кардиолога, иммунолога. Если есть риск развития дисфункции почек, подключают к разработке программы лечения нефролога.
Сдав анализ мокроты, пульмонолог выявляет возбудителя и принимает решение каким лекарственным средством необходимо лечиться. Вирусную пневмонию, вызванную бактериями, или смешанный ее тип лечат с помощью антибиотиков, например, амоксициллином. Эффективность таких препаратов оценивают спустя 3 суток после применения.
Если за это время симптомы начинают ослабевать – курс продолжают дальше. В противном случае, если прием медикамента не принес должного эффекта, меняют фармакологическую группу лекарственного средства.
Рекомендуется курс антибиотиков пройти до конца, в соответствии с аннотацией лекарства. Иначе лечение вирусной пневмонии будет безрезультатным.
Симптоматическая терапия избавит пациента от мучительных признаков. Обычно применяют отхаркивающие и жаропонижающие средства (НПВС). Госпитализация проводится редко и чаще всего только детям младше 1 года, людям старше 60 лет, пациентам с эндокринными нарушениями или с сердечной недостаточностью. Заболевшим назначается употребление в большом количестве чистой негазированной воды, высококалорийное сбалансированное питание и постельный режим.
Если форма вирусной пневмонии достаточно тяжелая, то налицо необходимость лечиться в специализированных стационарах в палатах интенсивной терапии. К примеру, эффективно применение ИВЛ (аппарат искусственной вентиляции легких) и оксигенация (насыщение кислородом крови).
Делать ли прививку
Приближается осень, а вместе с ней — сезонный грипп. Пульмонолог рекомендует не пренебрегать прививками от гриппа, потому что они могут спасти жизнь: «При гриппе очень важна вакцинация. По моему опыту работы при всех вирусных пневмониях, развившихся как осложнение после гриппа, нет ни одного летального случая среди вакцинированных. Вакцина не защищает на 100% от гриппа, но защищает от тяжелого течения».
Вакцина от коронавируса пока для населения недоступна, но полезно сделать и другие прививки, подчеркнула Наталья Ревель-Муроз: «Я однозначно — и как человек, и как доктор — выступаю за вакцинацию. Мы видим по ситуации с гриппом: когда стали проводить массовую вакцинацию, количество тяжелых случаев значительно снизилось. За счет вакцинации уменьшается и количество других респираторных инфекций».
Текст подготовил

Котов Максим Анатольевич, главный врач центра КТ и УЗИ «Ами», врач-рентгенолог, врач УЗД высшей категории, к.м.н., доцент. Стаж — 21 год
Список источников
- Котов М.А. Опыт применения компьютерной томографии в диагностике заболеваний органов дыхания у детей / Материалы X Невского радиологического Форума (НРФ-2018). – СПб., 2018, Лучевая диагностика и терапия. 2018. № 1 (9). — С. 149.
- Панов А.А. Пневмония: классификация, этиология, клиника, диагностика, лечение, 2020.
- Бова А.А. Пневмонии: этиология, патогенез, клиника, диагностика, 2016.
- Chl Hong, M.M Aung , K. Kanagasabai , C.A. Lim , S. Liang , K.S Tan. The association between oral health status and respiratory pathogen colonization with pneumonia risk in institutionalized adults, 2018.
- Yang-Pei Chang, Chih-Jen Yang, Kai-Fang Hu, A-Ching Chao, Yu-Han Chang, Kun-Pin Hsieh, Jui-Hsiu Tsai, Pei-Shan Ho, Shen-Yang Lim. Risk factors for pneumonia among patients with Parkinson’s disease: a Taiwan nationwide population-based study, 2016.
- Клинические рекомендации по диагностике, лечению и профилактике тяжелой внебольничной пневмонии у взрослых. Министерство здравоохранения РФ, 2019.
Пневмония при коронавирусе — симптомы воспаления легких
Пневмония часто развивается после периода относительно легкого начала болезни, во время которого наблюдается:
- повышение температуры тела в пределах 37,5-38 градусов;
- першение и боль в горле;
- приступы сухого кашля;
- отсутствие обоняния и вкусовых ощущений;
- головные боли, сильная слабость.
Такое состояние длится от 2 до 8 суток, после чего симптомы усиливаются:
- температура поднимается до 39-40 градусов, сбивается с трудом и ненадолго;
- при дыхании, кашле возникает боль в груди;
- отмечается сильная слабость, потливость.
Во время кашля мокроты нет либо она отходит в малом количестве, имеет коричневатый оттенок. Из-за одышки сделать полноценный вдох не получается. Частота дыхания около 22 движений за минуту. Человек испытывает ощущение нехватки воздуха, характерное для пневмонии при коронавирусе. Максимально проявляется этот симптом в период с 6 по 9 день с момента заражения
Именно поэтому врачи советуют пациентам обращать особое внимание на собственное самочувствие в этот временной отрезок, в случае возникновения одышки обращаться за помощью
Распознать нарастающую дыхательную недостаточность можно по синюшности носогубной зоны. Дыхание приобретает форсированный характер — в дыхательном акте участвуют межреберные мышцы, человек пытается опереться на руки чтобы легче было сделать вдох.
Недостаточное снабжение кислородом головного мозга проявляется:
- постоянным желанием спать;
- спутанным сознанием;
- паническими атаками, возбуждением.
При значительном кислородном голодании мозга развивается обморочное состояние.
Заключение
Coronavirus — коварная инфекция. Пневмония при нем может протекать бессимптомно вызывать тяжелые последствия. Чтобы не рисковать здоровьем, а часто, и жизнью, врачи рекомендуют обращаться за помощью, если появился кашель, трудности с дыханием. Каждый день при коронавирусной пневмонии играет огромную роль в том, чем закончится болезнь.
Дорогой читатель, мы собрали всю самую важную и актуальную информацию о COVID-19 на 1 странице — главное о коронавирусе.Также, доступна актуальная статистика по: России, Москве, Подмосковью и городам, СпБ и всем регионам РФ и странам мира.
Мне нравится90Не нравится14



























