Принцип действия магнитно-резонансной томографии

Тело человека состоит из бесчисленного множества клеток. Клетки состоят из атомов, наибольшую численность составляют атомы водорода (вода — главный компонент клеток, формула воды — Н2О, Н — это водород). Ядра атомов водорода имеют собственный заряд. Магнитные томографы содержат мощные магниты, создающие интенсивное электромагнитное поле. Попадая в поле, ядра атомов выстраиваются в линейные цепочки. При этом они испускают радиосигнал, улавливаемый датчиками томографа. Сложнейшие программы преобразуют радиочастотные сигналы в изображение. Изображение выводится в трёх плоскостях на экран.
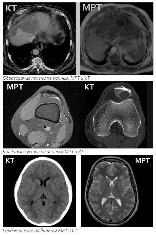
Что подходит именно вам — МРТ или КТ?
Какое сканирование подходит именно вам, зависит от того, что ищет ваш врач. Он будет опираться на ваши симптомы и анамнез. Имеющиеся факторы риска, которые могут помешать вам пройти КТ или МРТ, также являются важными критериями, когда ваш врач будет подбирать для вас подходящее сканирование.

Орган | МРТ | КТ |
Головной мозг | Лучше, так как оценивается больше видов патологии | Назначается при подозрении на перелом черепа или в экстренной ситуации |
Позвоночник | Лучше, так как оцениваются мелкие детали; способна обнаружить отек и опухоли | Назначается при подозрении на мелкий перелом или в экстренной ситуации |
Придаточные пазухи носа | Может применяться у детей, беременных женщин, пациентов, не желающих облучаться | Лучше, так как быстрее и есть возможность оценить костные структуры |
Легкие | Может подойти для оценки образований средостения, динамического наблюдения за опухолью | «Золотой стандарт» диагностики заболеваний легких |
Брюшная полость | Более детализированная картина образований, ограничения в исследовании кишки | Плюсы: скорость исследования и обхват исследуемой области |
Малый таз | Является «золотым стандартом» в оценки изменений всех органов малого таза | Может назначаться в экстренных случаях |
Ограничения и противопоказания для использования того или иного метода
Отличие КТ от МРТ брюшной полости состоит не только в разных возможностях получения изображений различных органов и анатомических образований. Различия также касаются таких характеристик обоих методов, как:
- безопасность процедуры;
- время проведения обследования;
- наличие противопоказаний для проведения нативного обследования и для введения контрастного вещества;
- требования к используемому в непосредственной близости от томографа оборудованию.
Рассмотрим все эти пункты по порядку.
- Безопасность методов. В томографах для КТ используется рентгеновское излучение, которое при превышении определенной дозы облучения может повредить здоровью пациента. Это сдерживает широкое применение метода для широкой диагностики заболеваний. Из-за риска развития осложнений были введены ограничения на объем обследуемой области и на кратность проведения процедур. Повторное КТ можно проводить не ранее, чем через 3 месяца после первого обследования. Оптимальный срок – 6 месяцев. В аппаратах МРТ для получения снимков используется магнитное поле и электромагнитные импульсы. При отсутствии противопоказаний к проведению обследования (инородные металлические тела, имплантированные электронные устройства и проч.) метод абсолютно безопасен для здоровья человека. В связи с этим нет ограничений по объему обследования (может быть обследовано сразу несколько областей или все тело человека) и по кратности проведения процедур.
- Время проведения обследования. КТ выполняется значительно быстрее, чем МРТ. Так, например, для обследования брюшной полости при помощи компьютерной томографии понадобится порядка 5 минут. При использовании контраста 30 минут. Получение снимков при помощи МРТ займет порядка 40 минут, а с контрастом около часа. Человеку, который проходит обследование по поводу незначительного недомогания, разница между 5 и 40 минутами может показаться незначительной. Однако есть пациенты, страдающие клаустрофобией, а также те, кому обследование выполняется по экстренным показаниям. Для этих категорий больных проведение КТ является более предпочтительным.
- Противопоказания для проведения самой процедуры обследования и введения контрастирующих препаратов. МРТ не проводится пациентам, у которых:
- в организме присутствуют инородные тела из металла;
- имплантированы электронные устройства типа кардиостимулятора;
- по жизненным показаниям есть необходимость в кардиомониторе и/или аппарате искусственной вентиляции легких.
Во всех этих случаях возможно проведение компьютерной томографии. Контрастные препараты для проведения КТ и МРТ запрещено вводить беременным и кормящим женщинам, лицам с непереносимостью контраста. Для контрастных препаратов на основе гадолиния (используются в МРТ) противопоказанием является наличие у пациента почечной недостаточности, а для йод-содержащих препаратов (для КТ) наличии у больного тиреотоксикоза, заболеваний печени и почек, эпилепсии. Наличие у пациента противопоказаний для введения того или иного контрастного препарата может потребовать использования другого метода обследования.
- Требования к оборудованию. По правилам в кабинете компьютеной или магнитно-резонансной томографии на случай развития серьезных побочных реакций на введение контрастных препаратов (отек Квинке, анафилактический шок, отек гортани и проч.), а также для проведения МРТ детям до 5 лет под наркозом, должен присутствовать обязательный минимум оборудования (кардиомонитор, дыхательный аппарат и проч.). Специальных требований к медицинскому оборудованию, которое находится в непосредственной близости от компьютерного томографа, нет. Рентгеновские лучи никак не влияют на работу аппаратов и установок. Иначе дело обстоит с томографом в кабинете магнитно-резонансной томографии. Все приборы, которые находятся в непосредственной близости от источника магнитного поля, должны быть изготовлены из парамагнитных материалов (таких, которые не взаимодействуют с магнитным полем томографа). Отсюда сложности и ограничения в проведении МРТ тяжелым больным и пациентам, которые должны постоянно находиться под наблюдением.
В этой статье мы рассказали в общих чертах, чем отличается МРТ от КТ брюшной полости. Как видите, для того, чтобы отдать предпочтение тому или другому методу обследования, необходимо учесть достаточно большое количество факторов. Для того, чтобы сделать правильный выбор и получил информацию, которая поможет поставить верный диагноз и назначить адекватное лечение, желательно предварительно проконсультироваться с врачом функциональной диагностики.
Патологии, выявляемые на МРТ брюшной полости
Томографические снимки дают представление обо всех слоях кишечной стенки, о расположении петель в брюшной полости, о лимфатических и кровеносных сосудах, о нервных сплетениях. Выявляют такие болезни как:
- аномалии развития кишечной трубки: удлинение толстого кишечника – долихоколон, или его части – долихогсигма, боковое выпячивание участка – дивертикул;
- воспалительные процессы всего кишечника или какого-то сегмента: колиты язвенные и неязвенные, болезнь Крона;
- опухоли любого отдела кишечника. Помимо локализации можно установить состояние окружающих тканей вокруг опухоли, имеется ли прорастание в соседние органы. Оцениваются лимфатические узлы брюшной полости, выявляется наличие или отсутствие метастазов;
- полипы, причем заметны даже мельчайшие разрастания слизистой;
- кровотечения из сосудов кишечника;
- непроходимость кишечника, в том числе закупорку, вызванную инородным предметом;
- состояние желчных протоков, в том числе общего желчного, открывающегося в 12-перстную кишку.
Особенно актуально МРТ тонкого кишечника с контрастом, так как другие методы не всегда дают достоверную оценку состояния органа. МРТ толстого кишечника также показывает наличие патологий, но тут в запасе есть другой метод — колоноскопия, которая показывает состояние кишки изнутри.
Подготовка
Обследование проводится после предварительной подготовки ЖКТ. Рассмотрим особенности подготовительных мероприятий:
- за три дня нужно исключить из рациона газообразующие продукты (сладости, выпечку, свежий хлеб, бобовые, цельное молоко, сырые овощи и фрукты);
- при скоплении газов рекомендуется принять таблетки от метеоризма (Эспумизан) и энтеросорбенты, например, Активированный уголь;
- отказ от скрепляющих продуктов (крепкого чая, рисовой и манной каши). При необходимости нужно выпить слабительное средство;
- перед исследованием нужно опорожниться;
- если есть необходимость в проведении клизмы, ее делают за сутки до процедуры;
- манипуляция проводится натощак;
- под запрет попадает алкоголь в любом виде;
- для снятия спазма и расслабления активной перистальтики непосредственно перед томографией пациенту могут дать выпить Но-шпу;
- не стоит пользоваться кремами, декоративной косметикой и средствами для волос;
- для подготовки к МРТ с контрастом за три дня с целью лучшего очищения кишечного тракта пьют Фортранс.
Важна не столько организационная подготовка, сколько психологическая, ведь пациенту придется какое-то время находиться в неподвижном состоянии. Если исследование проводится детям, родители должны проверить, чтобы в их карманах не было никаких запрещенных вещей.
Отправляясь на МРТ, следует надеть удобную одежду свободного кроя и снять со своего тела все металлические аксессуары. Медсестра должна в обязательном порядке поинтересоваться наличием конструкций из металла в организме. Людям, страдающим клаустрофобией, может быть предложено успокоительное средство. Если пациент болен сахарным диабетом, то есть не может длительное время пробыть без еды, подготовка начинается с клизмы.
Когда нужно делать гидро МРТ кишечника

МР-исследование кишечника не так широко применяется на практике, как прочие виды МРТ, по причине сложности визуализации петель кишечника. Однако данная методика используется для выявления аномалий развития органа, состояния слизистой оболочки и пр. Отсутствие инвазивного вмешательства и безболезненность делает процедуру гидро МРТ предпочтительной пациентам с противопоказаниями к эндоскопической колоноскопии, которая может вызвать повреждения кишечника.
Симптомы, при которых рекомендуется делать гидро МРТ кишечника:
- Болевые ощущения в животе;
- Стойкие нарушения пищеварения;
- Избыточное скопление газа в брюшной полости (вздутие живота);
- Диарея с наличием в стуле примесей слизи, гноя;
- Резкое похудение, отсутствие аппетита без объективных причин;
- Бледность, повышенная утомляемость, снижение количества эритроцитов и гемоглобина крови;
- Анальные свищи.
Когда врачи назначают гидро МРТ кишечника:
- Острые отеки, воспаления кишечника;
- Абсцессы;
- Неспецифический язвенный колит;
- Кишечное кровотечение неустановленного генеза;
- Врожденные аномалии развития;
- Болезнь Крона;
- Дивертикулы;
- Спайки кишечника;
- Непроходимость кишечника;
- Опухолевый процесс под вопросом.
Самым информативным режимом исследования является гидро МРТ кишечника с применением двойного контрастирования – контрастный препарат в таком случае вводится перорально и внутривенно. Из-за перорального введения контрастного агента просвет кишки растягивается, изгибы расправляется, благодаря чего повышается качество снимков зоны сканирования.
Принцип действия КТ, МСКТ и МРТ
Основной принцип работы КТ — рентгеновские лучи, но в отличие от стандартного рентгена, который дает двухмерную картину, в результате такой процедуры получается объемное 3D изображение. Устройство для проведения исследования представляет собой контур в форме кольца, испускающего рентгеновские лучи, в центре которого располагается стол с пациентом. Настройки аппаратуры позволяют делать снимки срезов органа с толщиной до 1 мм.
При обследовании путем компьютерной томографии сначала получают целый ряд рентгеновских изображений исследуемого органа, меняя угол и точку обзора. Благодаря специальным программам происходит их обработка и моделирование трехмерной картинки.
Одним из разновидностей КТ является метод МСКТ – мультиспиральной компьютерной томографии. Его особенность – двухмерное расположение датчиков рентгеновских лучей, которые совершают движение по спирали вокруг больного. Это ускоряет процесс и позволяет делать сразу несколько частей будущего изображения.
При МРТ получают снимок органа в трехмерном виде из серии отдельных фотографий, применяются электромагнитные волны. При их воздействии специальное приемное устройство фиксирует ответный сигнал, который отличается в зависимости от тканевых сегментов.
Преимущества КТ
Каждый из рассмотренных диагностических методов имеет свои особенности и область применения. МРТ даст более четкое изображение мягких тканей, в то время как КТ покажет кальций в костных структурах, чего не способна сделать магнитно-резонансная томография.
По этой причине выбирать, к какой из методик лучше обратиться, стоит, учитывая сопутствующие факторы, а именно показания и противопоказания, стоимость и актуальность проведения исследования. Иногда могут понадобиться два варианта диагностики, например, МРТ и МСКТ.
Так или иначе, каждый из методов обладает рядом преимуществ. Что касается КТ, то к ним относятся:
- точные и надежные данные;
- объемная 3D картинка области исследования;
- четкость изображений для костных тканей;
- подлинные данные в случае внутренних кровотечений или выявления опухолей;
- проведение всей процедуры занимает достаточно мало времени;
- КТ не запрещается при наличии у пациента в организме металлических или электронных устройств;
- сравнительно доступная цена.
Несмотря на все эти плюсы, компьютерная томография является не самой безвредной процедурой. Это связано с использованием рентгеновских лучей, которые оказывают нагрузку на организм и негативно сказываются на здоровье человека.
Плюсы использования МСКТ
По сравнению с компьютерной томографией МСКТ считается более современным и продвинутым методом диагностирования заболеваний внутренних органов, с помощью которого можно проводить обследование как мягких, так и костных тканей. Он имеет ряд преимуществ, так как у него:
- лучше контрастное разрешение;
- более высокая точность;
- рентгеновская трубка совершает большее количество оборотов;
- скорость сканирования выше;
- разнообразная область анатомического покрытия;
- снижена степень лучевой нагрузки.
Еще одним из достоинств метода можно назвать способность получать тонкие срезы органов и отображать структуру стенок. В результате специалист видит объемную конструкцию спирального среза абсолютно всех тканей.
Достоинства метода МРТ
МРТ можно смело назвать самым эффективным методом обследования внутренних органов и систем организма с целью диагностирования патологий, которые затрагивают:
- центральную нервную систему, а именно головной и спинной мозг;
- суставы;
- позвоночник;
- кишечник и брюшную полость;
- сердце и сосуды.
Одним из главных преимуществ метода является его безопасность. Он разрешен для беременных и детей, так как волны, которые применяются в ходе процедуры, имеют электромагнитную, а не рентгеновскую природу. В результате проводить МРТ можно повторно, если необходимо.
Данная методика характеризуется высоким качеством и четкостью получаемого трехмерного изображения и точностью визуализированной на ней информации. Вероятность ошибки практически сводится к нулю.
МРТ позволяет детально изучать сосуды спинного и головного мозга и патологически измененной ЦНС за счет получения продольных и поперечных срезов. Дает возможность исследовать позвоночные грыжи и определять параметры кровотока без дополнительного введения специальных дорогих препаратов, используемых для контраста. Это обусловлено высоким уровнем мягкотканного контрастирования.
Подготовка и особенности проведения МРТ кишечника
Рентгенлаборант объясняет правила поведения, показывает нахождение “тревожной” кнопки. Медсестра катетеризирует вену и подсоединяет инъектор, который будет автоматически подавать контрастное вещество. При двойном усилении предварительно в кишечник вводят специальный раствор или газовую смесь.
Во время процедуры пациент лежит на столе томографа, который скользит вглубь кольца барабана. Медперсонал наблюдает за состоянием больного из соседней комнаты через стекло. Длительность сканирования составляет около часа.
Источники
- Неотложная колоноскопия при низких кишечных кровотечениях. / Короткевич А.Г., Захарченко Е.В., Леонтьев А.С., Плюснин Р.А. / Экспериментальная и клиническая гастроэнтерология, 2016. – 8(132) – С. 51-56.
- Руководство по гастроэнтерологии. / Под ред. Ф. И. Комарова, С. И. Рапопорта. / М.: ООО “Медицинское информационное агентство”, 2010. – 864 с.: ил.
- Злокачественные новообразование ободочной кишки и ректосигмоидного отдела. Клинические рекомендации. / Общероссийский национальный союз “Ассоциация онкологов России” МЗ РФ, 2020. – 57 с.
- Возможности лучевых методов в диагностике воспалительных заболеваний кишечника. / С.Э. Дуброва, Г.А Сташук. / Альманах клинической медицины, 2016. – 44(6). – С. 757 – 769.
- МРТ. Органы живота. / Г. Е. Труфанов, В. А. Фокин. / ГЭОТАР-Медиа, 2019. – 512 с.
- Практикум по неотложной хирургии органов брюшной полости. Учебное пособие. / Коханенко Н.Ю. / Спецлит, 2019. – 287 с.
Чем отличается КТ от МРТ?
Для того, чтобы понять, в чем отличие КТ и МРТ, необходимо разобраться, на чем основывается каждый из этих методов исследования.
В основе компьютерной томографии лежит специфическое свойство рентгеновского излучения поглощаться в зависимости от плотности конкретных тканей организма. По-большому счету, компьютерная томография идентична традиционной рентгенографии, но принцип работы компьютерного томографа при КТ отличается совершенно иным способом получения и обработки информации, а также более высокой лучевой нагрузкой.
На исследуемую область во время томографического рентгеновского исследования, послойно, воздействует пучок рентгеновских лучей, который, проходя сквозь ткани пациента с различной плотностью, поглощается ими. При этом возникают послойные изображения срезов тела. Высококачественное компьютерное оборудование обрабатывает полученные данные и перерабатывает их, давая информативные трехмерные изображения, отражающие особенности исследуемого органа или участка тела.
В МРТ-диагностике данные получают с применением мощного магнитного поля (ядерно-магнитного резонанса), благодаря которому атомы водорода в организме человека начинают менять свое положение. Томограф посылает электромагнитные импульсы, а возникающий в организме эффект, улавливается оборудованием и перерабатывается в трехмерные изображения.
Таким образом, разница МРТ и компьютерной томографии становится очевидной. Кроме того, КТ оказывает значительное лучевое воздействие, поэтому не может применяться многократно. Рентгеновские лучи при проведении компьютерной томографии воздействуют на органы и ткани до 10 секунд, что предпочтительно для лиц страдающих клаустрофобией, а вот для полноценного магнито-резонансного исследования может потребоваться 10–20 минут (с сохранением неподвижного состояния). Поэтому, при проведении МРТ-исследования в детском возрасте, часто применяют наркоз.
Показания и противопоказания
Многие считают, что безболезненная процедура томографии желудка вполне может заменить неприятную гастроскопию или другие эндоскопические способы диагностики ЖКТ, однако это не совсем так. МРТ и ФГДС имеют свои области применения и не являются взаимозаменяемыми процедурами в большинстве случаев. Последняя, благодаря камере на головке эндоскопа, позволяет рассмотреть состояние пищевода, желудка и двенадцатиперстной кишки, определить наличие неестественных цветовых вкраплений, воспалительных процессов, количество слизи.
МРТ желудка назначается для определения различных особенностей образования при наличии онкологии. Показаниями к проведению подобного метода исследования полости органа выступают:
- подозрение на рак желудка или кишечника;
- уточнение месторасположения опухоли;
- необходимость дифференцирования рака и язвенной болезни;
- исследование близлежащих лимфоузлов на предмет наличия метастаз;
- определение типа опухоли, этиологии ее появления, расположения по отношению к стенкам желудка.
Процедура назначается при неясной клинической картине заболевания или невозможности осуществления иных исследований. К дополнительным показаниям к проведению МРТ ЖКТ относят:
- гастрит, хронический или острый;
- стремительную потерю веса;
- отсутствие аппетита в совокупности с другими проявлениями возможных сбоев в ЖКТ;
- кишечные кровотечения;
- непроходимость кишечника;
- постоянную рвоту или диарею с примесями крови, гноя или иных нетипичных включений.
МРТ кишечника
Принцип работы томографа предполагает наложение определенных ограничений на выполнение этого вида обследования при наличии у пациента в организме большого количества металла (пластин, штифтов, скоб) или электронных приборов (кардиостимуляторов, слуховых аппаратов). Не рекомендуется проведение МРТ органов пищеварения при:
- возрасте до 7 лет (в некоторых клиниках до 14);
- весе более 130 кг;
- выраженной клаустрофобии (способна стать причиной остановки сердца);
- эпилепсии (не позволяет пациенту лежать неподвижно).
Исследование внутренних органов с помощью МРТ
Приготовление к диагностике
МРТ желудка не требует особенной подготовки с помощью лекарственных препаратов, однако начать придерживаться легкой диеты за 2-3 дня до проведения процедуры не помешает. Рекомендуется исключить из рациона все продукты, которые становятся причиной повышенного газообразования. К ним относятся белокочанная капуста, бобовые, сдобные изделия, сладости, газированные напитки.
За 7 часов до проведения МРТ желудочно-кишечного тракта не рекомендуется принимать пищу или курить. Желательно сделать очистительную клизму непосредственно перед исследованием. Аппарат представляет собой большой магнит, поэтому необходимо снять с себя все металлические украшения и предметы, сообщить врачу о наличии таковых в организме, если они имеются, исключить нахождение ключей, мобильного телефона или кредитной карты с магнитной полосой в непосредственной близости от прибора.
Психологическая подготовка к процедуре играет немаловажную роль в успехе ее проведения. Достаточно длительное пребывание человека в столь замкнутом пространстве способно стать причиной нервозности, приступа клаустрофобии или иных психосоматических сбоев. Это помешает нормальному течению процесса обследования и сделает его неинформативным.
Магнитно-резонансная томография – современный метод диагностики. Он является оптимальным для получения всех данных о характере развивающейся опухоли, ее размерах, стадии рака, наличии метастаз. Применение этого способа происходит в случаях, когда иные методы обследования (УЗИ, ФГДС, колоноскопия, лабораторные анализы крови) не дают достаточной информации об особенностях существующего заболевания. Небольшая распространенность МРТ обуславливается повышенной стоимостью по сравнению с другими видами диагностики.
Мрт аппараты
3 Тесла
Томограф закрытого типа мощностью 3 Тесла – самый современный аппарат, существующий на данный момент в мире, за счет сверхвысокого поля данное оборудование позволяет:
- Проводить исследования значительно быстрее, чем на аппаратах с менее высоким полем.
- Данный тип аппаратов рекомендуем при исследованиях сердца.
- Меньшее количество артефактов.
- Более качественная диагностическая информация.
1,5 Тесла
Оборудование закрытого типа 1,5 Тл является “золотым стандартом” всех МР-исследований. На таких сканерах проводят диагностику структур головы, позвоночника, внутренних органов, сосудов и суставов. В отличие от аппаратов с низким полем, такие томографы позволяют получать четкие, контрастные и подробные снимки с высокой разрешающей способностью.
Открытого типа
Системы открытого типа характеризуются мощностью 0,2-0,35 Тл и чаще всего подходят для первичного исследования органов и тканей, поскольку обладают меньшей разрешающей способностью, нежели оборудование 1,5 Тл. Из-за особенностей конструкции открытые томографы позволяют проводить диагностику пациентам с клаустрофобией, большим весом, маленьким детям.
Противопоказания
Стандартным противопоказанием к томографии кишечника является наличие металлических элементов в теле обследуемого. Диагностика на томографическом аппарате связана с сильным магнитным полем, и металл может как искажать изображение, так и, находясь в костях или мягких тканях, смещаться.
Относительным противопоказанием для проведения МР-сканирования является беременность в первый её триместр. Несмотря на то, что случаев ухудшения состояния беременной женщины или рожденного ребенка не выявлено, врачи во избежании стресса и волнения будущей мамы стараются не назначать диагностику в начале беременности. Что касается кормящих матерей, то производители контрастного вещества обычно советуют не кормить ребенка грудью в течение одних-двух суток после проведения МРТ с контрастом.
Томография кишечника с применением контрастного вещества имеет относительное противопоказание людям с заболеваниями почек, сопровождающимися почечной недостаточностью. Для таких пациентов необходимо сдать анализы крови на креатинин и скорость клубочковой фильтрации почек. В зависимости от полученных данных врач принимает решение о возможности диагностики на томографе.
Что видно при исследовании
МРТ чаще используется для визуализации плотных органов — печени, почек, мозга. Полые органы — желудок, кишечник — без дополнительного введения контраста не так хорошо видны. Но при использовании контраста стенка кишечной трубки становится обозримой и доступной для качественной диагностики. Что показывает МРТ кишечника? Врач даст направление на МРТ брюшной полости, при которой помимо кишечника на снимках будут видны все органы. Отдельно томограмма кишечника не производится. На снимках будут видны послойные изображения всего живота. Срез за срезом аппарат выдаст картину печени, поджелудочной, почек, сосудов, жировой ткани, лимфатической системы, желудка, тонкого и толстого кишечника. При необходимости проверят внутренние половые органы, мочевой пузырь.
Костная ткань не исследуется при помощи МРТ, так как кости содержат мало воды и атомов водорода соответственно.
Что такое КТ кишечника?
Это методика обследования,предполагающая подачу на экран компьютера изображения толстого кишечника и прямой кишки изнутри. Не причиняет дискомфорта. Вовремя проведения диагностики пациент лишь может получить маленькие дозы облучения в тоннеле томографа (в лежачим положении). Весь процесс занимает около 15-ти минут.
Плюсы и минусы
Специалисты до сих пор не могут решить, какая процедура надежнее,КТ или колоноскопия, а все потому, что у обеих процедур есть как плюсы, так и минусы.
Плюсы : КТ
- неинвазивность;
- показана людям с легочной недостаточностью и тем, у кого плохая свертываемость крови;
- есть возможность осмотреть близлежащие органы;
- весь процесс исследования длится до 15-ти минут.
Минусы:
- человек получает дозу облучения;
- женщине категорически запрещается проходить КТ, если она беременна;
- людей с избыточным весом трудно обследовать,аппарат может выдержать только определенный вес.
Противопоказания к КТ
КТ имеет два вида противопоказаний: абсолютные и относительные. К абсолютным можно причислить:
- беременность;
- клаустрофобию;
- общее крайне тяжелое состояние больного: шок или кома;
- избыточный вес – у томографов есть свой предел,часто это около 150 кг.
Относительные:
- гиперкинез;
- дивертикулит;
- обострение болезни Крона.




























